概述
初期可能无症状,随着鼻息肉体积增大,则可能出现鼻塞、鼻溢液、嗅觉功能减退等症状。
发病机制尚未阐明,考虑由病原微生物、遗传因素、免疫机制和组织重塑等相互作用引发疾病。
症状
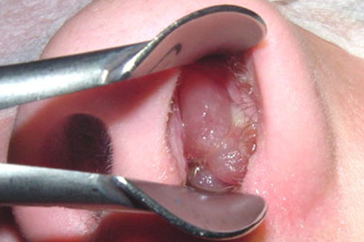
临床表现为双侧进行性鼻塞,伴有清涕或黏性鼻涕,部分患者伴有嗅觉减退、头面部闷胀沉重感,体征检查时通过鼻内镜在鼻腔内可发现荔枝肉样新生物。
临床表现
鼻塞:多为双侧发病,单侧者较少,常表现为双侧鼻塞并逐渐加重为持续性,重者说话呈闭塞性鼻音,睡眠时打鼾;
鼻溢液:鼻腔流黏液样或脓性涕,间或为清涕,可伴喷嚏;

嗅觉功能障碍:多有嗅觉减退或丧失;
耳部症状:鼻息肉或分泌物阻塞咽鼓管口,可引起耳鸣和听力减退;
继发鼻窦症状:可继发鼻窦炎,病人出现鼻背、额部及面颊部胀痛不适。
体征
鼻腔内可见到稀薄浆液性或黏稠、脓性分泌物,鼻内镜检查可见鼻腔内有一个(单发型)或多个(多发型)表面光滑、灰白色、淡黄或淡红色的如荔枝肉状半透明肿物,触之柔软,不痛,不易出血。巨大或复发鼻息肉可致鼻背变宽,形成“蛙鼻”。


病因
鼻息肉被公认为是一种多致病因素导致的疾病实体,这些因素包括免疫异常、解剖异常、遗传因素、感染等。
治疗
激素治疗:初发较小息肉、鼻息肉手术前后,或伴有明显变态反应者,可用局部吸入型糖皮质激素喷鼻剂喷鼻,如曲安奈德鼻喷雾剂、布地奈德鼻喷雾剂等。
阿司匹林耐受不良、哮喘或鼻息肉手术后的患者,可配合口服激素治疗;
手术治疗:多发和复发性息肉患者,须采取经鼻内镜手术治疗,术后须坚持长期随访和综合治疗。
参考文献
[1]席淑新.眼耳鼻咽喉口腔科护理学.第3版[M].北京.人民卫生出版社.2014.249.
[2]孙虹,张罗.耳鼻咽喉头颈外科学.第9版[M].北京.人民卫生出版社.2018.215.
[3]孔维佳,周梁.耳鼻咽喉头颈外科学.第3版[M].北京.人民卫生出版社.2015.308.
