概述
牙肿指牙龈肿起的症状,可表现为牙龈红肿或肿大、疼痛等不适,常因牙周脓肿、牙周炎、慢性根尖周炎等导致。
症状
牙肿指牙龈肿起的症状,常见于牙周脓肿、牙龈炎、慢性根尖周炎等疾病,具体症状如下:
牙周脓肿
一般发病突然,可在患牙的牙龈上形成圆形突起,色红、水肿、表面光亮,且脓肿早期疼痛明显,呈局限性、搏动性疼痛,患牙自觉有浮起感、叩痛及松动,甚至形成脓点。

牙周炎
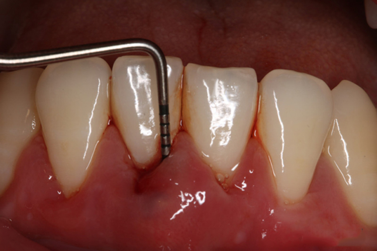
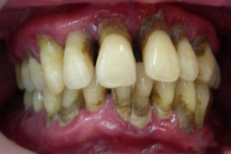
牙周炎常见症状有牙龈红肿、刷牙时易出血,还可伴随牙龈退缩、口腔异味、咬合不适或疼痛,以及牙松动等症状。

慢性根尖周炎
一般无自觉症状,患者多有牙髓病史,有些患者可在咀嚼时自觉疼痛,也可出现牙龈鼓起小包或牙龈肿大现象。

病因
牙肿指牙龈肿起的症状,常见于牙周脓肿、牙龈炎、慢性根尖周炎等疾病,其病因如下:
牙周脓肿:常因牙周袋炎症向深部扩展而形成脓肿,或因深牙周袋引流不畅导致。
牙周炎:通常是因牙菌斑、食物嵌塞、口腔不良习惯等因素诱发。
慢性根尖周炎:主要由于根管内长期有感染及病原刺激存在,导致根尖周围组织呈现慢性炎性反应。
治疗
不同疾病多需要采取针对性的治疗措施,具体如下:
牙周脓肿:可遵医嘱给予镇痛、抗生素等药物治疗,还可应用抗菌漱口液,如氯己定溶液等药物,必要时可给予手术切开排脓治疗。
牙周炎:通常需长期系统治疗,包括基础治疗、牙周治疗、修复及松牙固定治疗和牙周支持治疗等,可选择龈上洁治术或龈下刮治术,必要时调整咬合、消除食物嵌塞和纠正不良修复体。
慢性根尖周炎:治疗时需消除病原刺激物,必要时可选择根尖外科手术去除病变。
参考文献
[1]樊明文主编.中华医学百科全书.临床医学.口腔医学[M].北京:中国协和医科大学出版社,2018:79-80,94-95.
[2]迟艳侠主编.五官科常见疾病综合诊疗[M].北京:中国纺织出版社,2020:131-134.
展开
