概述
肺部真菌感染时CT可表现为薄壁空洞,常伴有球形病变,可有浸润性改变。
肺部真菌感染主要考虑为肺念珠菌病、肺曲霉菌病等,治疗主要是采用抗真菌药。
CT表现
肺部真菌感染包括肺念珠菌病、肺曲霉菌病、肺隐球菌病等,具体的CT表现会有所不同。
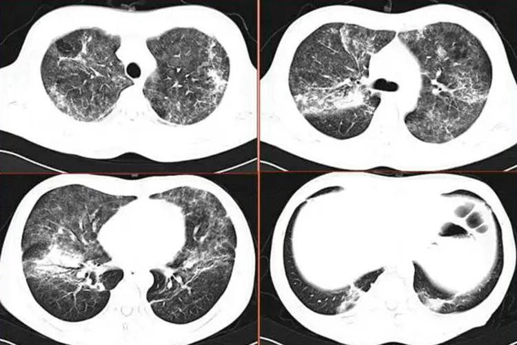
肺念珠菌病
CT表现为双侧肺间质和实质浸润,可为支气管肺炎的小斑片影,单侧或双侧节段性实变,边缘模糊,密度不均以中下肺为多见,病灶可融合,一般不侵犯肺尖。肺实变阴影可以在短期内改变形状,一处消散而在另一处出现新病灶,但形成空洞者较少见。

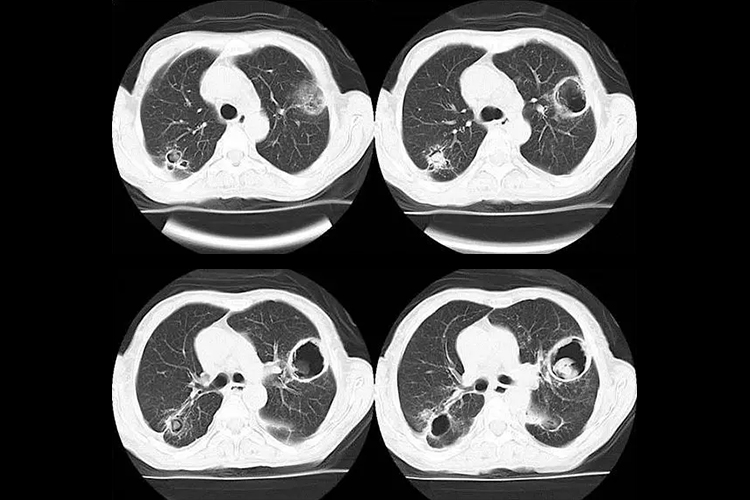
肺曲霉菌病
CT表现为孤立的和多发的结节性浸润,外周密度低于结节中心,高于正常肺组织,呈日晕样环状阴影称为晕轮征。疾病中、晚期由于梗死肺组织的收缩可形成空洞,典型者会有新月形空气征。

肺隐球菌病
CT表现为肺部结节,结节多为孤立性,亦可为多发结节,结节大小不等,形态不规则,但绝大多数位于肺外带及胸膜下,可有边缘光滑的空洞形成并累及胸膜。偶尔呈弥漫性粟粒影,少数为局限性浸润性实变。

治疗措施
肺部真菌感染虽然存在不同的致病菌,但具体治疗大致相似。临床主要采取抗真菌药物,比如氟康唑、伊曲康唑、两性霉素B脂质复合体、5-氟胞嘧啶等,并辅助其他治疗措施。同时要消除诱因,积极治疗原发病及基础病,注意提高机体抵抗力,以便于促进疾病的恢复。
参考文献
[1]张秀芸编著.实用儿科影像诊断[M].北京.科学技术文献出版社,2017.128-139.
[2]韦向荣,高海鹏,梁智林编者.骨科临床诊断与手术学[M].长春.吉林科学技术出版社,2019.120.
[3]李瑞书著.呼吸系统疾病诊断思维及临床治疗[M].长春.吉林科学技术出版社,2019.141-151.
展开
