概述
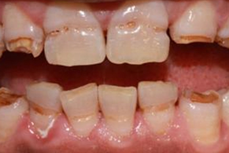
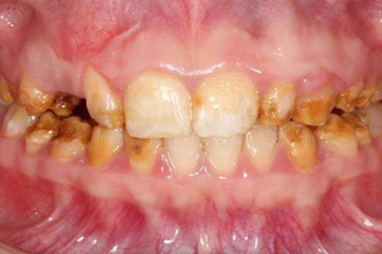
牙釉质发育不全症状严重时可见牙齿表面出现大坑,呈对称性分布,影响美观,与严重营养障碍、内分泌失调等有关,建议遵医嘱治疗。
症状
牙釉质发育不全严重时可见牙面可出现带状或窝状棕色的大坑。由于致病因素出现在牙发育期,故受累牙往往呈对称性,患者上下牙失去咬合能力,并且严重影响牙齿美观。


病因
全身疾病、严重营养障碍、内分泌失调,以及严重的乳牙根尖周感染等因素,可导致牙釉质形成异常,从而导致牙釉质发育不全。
治疗
牙釉质发育不全者应预防龋病的发生。对于牙着色或缺陷,可遵医嘱使用复合树脂、烤瓷冠等方法进行修复治疗。
参考文献
[1]张志愿.口腔科学.第9版[M].北京.人民卫生出版社.2018.49-50.
[2]口腔执业医师资格考试专家组编.口腔执业医师资格考试应试指导.2019年[M].北京.中国协和医科大学出版社.2018.420.
展开
