概述
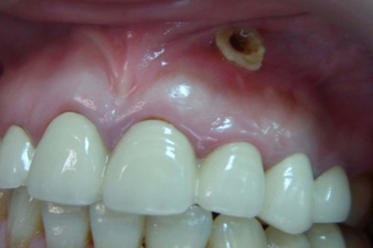
牙龈有洞眼通常指牙龈的窦道开口,可有少许脓液流出,并在叩诊时可出现不适或痛感。
牙龈有洞眼可能由于慢性根尖周炎、慢性牙周脓肿等疾病导致。
症状
牙龈有洞眼通常指牙龈的窦道开口,常发生在有窦型慢性根尖周炎者,可查及位于患牙根尖部的唇颊侧牙龈表面的窦道口,部分患者可探及牙周袋。叩诊反应无明显异常或仅有不适感,一般牙不松动,部分患者出现扪诊疼痛感。对于存在慢性牙周脓肿的患者,可见有针尖大开口或肉芽组织增生的开口,压时有少许脓液流出。可有咬合不适感或钝痛,当脓液引流不畅时。

病因
牙龈有洞眼可能是由慢性根尖周炎或慢性牙周脓肿等原因导致。
慢性根尖周炎:牙髓组织和根尖周组织通过根尖孔密切相连,牙髓组织中的病变产物细菌及其毒素等可通过根尖孔扩散到根尖周组织,引起根尖周病,根尖周病加重后可在牙龈部出现瘘管。
慢性牙周脓肿:可能由多种因素导致,如深牙周袋内壁的化脓性炎症向深部结缔组织扩展、进行治疗时将牙石碎片推入牙周袋深部组织或损伤牙龈组织等,可引起根尖损害,出现瘘管症状。
治疗
牙龈有洞眼需消除根管内的感染,有效措施是根管治疗,即用机械和化学的方法对根管进行清创,再通过严密地封闭根管,防止再感染最后进行牙龈处洞眼的充填。慢性牙周脓肿可进行牙周手术,如脓肿切除术、翻瓣术,然后进行局部填充治疗。
参考文献
[1]孟焕新.牙周病学.第5版[M].北京.人民卫生出版社.2020.173.
[2]张志愿.口腔科学.第9版[M].北京.人民卫生出版社.2018,57-58.
[3]迟艳侠主编.五官科常见疾病综合诊疗[M].北京:中国纺织出版社,2020.10,134.
展开
