概述
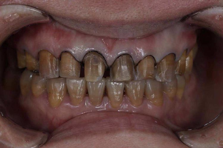
极重度四环素牙可见牙齿表面颜色加深,严重者可呈灰褐色,主要与应用四环素类药物有关,建议遵医嘱选择合适的措施进行处理。
症状
极重度四环素牙主要表现为牙齿染色,随病程延长,可见患牙表面着色较深,严重者可呈灰褐色、深灰色,累及牙龈时可导致牙龈红肿也被染色,此种转变往往可持续数十年之久。另外,极重度四环素牙还可伴随出现牙齿缺损、牙齿龋坏等情况。

病因
在牙发育矿化期服用四环素类药物,药物被结合到牙体组织内,药物本身或者其降解产物的颜色可使牙着色,情况严重时逐渐发展为极重度四环素牙。
治疗
极重度四环素牙进行任何漂白治疗均无效,可通过复合树脂修复或冠修复等方法进行治疗,此外预防也较为重要,避免盲目使用四环素类药物。
参考文献
[1]周学东.牙体牙髓病学.第5版[M].北京.人民卫生出版社.2020.56-57.
[2]张志愿.口腔科学.第9版[M].北京.人民卫生出版社.2018.46.
展开
