概述
正常颌面部CT影像中,可见正常牙齿、上颌骨、下颌骨、颞颌关节、腮腺等解剖结构。
如果颌面部CT影像出现异常,可在医生指导下通过异常表现,初步判断具体病变类型。
表现
正常颌面部CT影像中,有正常牙齿、上颌骨、下颌骨、颞颌关节、腮腺等解剖结构,在影像中的表现有一定不同。
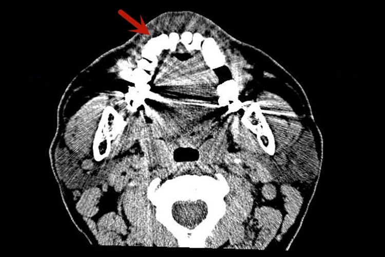
牙齿:牙齿分为牙冠、牙根、牙颈,牙髓腔为低密度,牙釉质骨质致密为高密度,牙本质及牙骨质密度稍低,牙槽骨牙周骨板密度高,骨松质呈网格状,牙周膜为牙根与牙槽骨硬骨板之间的连续线状低密度影。

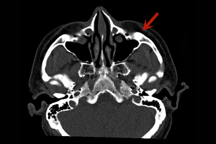
上颌骨:上颌骨分为体部和4个突起。体部包含上颌窦,窦口开向鼻腔,4个突起为额突、颧突、腭突及齿槽突,两侧腭突与腭骨水平板组成硬腭。

下颌骨:下颌骨分为一体两支,下颌支与体连接成钝角,即下颌角。下颌骨体部上缘为齿槽骨,体部有下颌管,宽约3mm,升支中部舌侧面有下颌孔,升支上方有下颌切迹及两个突起,前方为喙突,后方为髁状突。

颞颌关节:颞颌关节间隙位于关节凹和髁状突之间,呈低密度影,关节间隙宽度在2mm以上,上间隙最宽,后间隙次之,前间隙最窄,两侧相等。髁状突呈椭圆形密度高的影像,由连续、整齐、致密白线围绕。开口位时,髁状突位于关节结节下方或前下方,闭口位髁状突位于关节凹内。

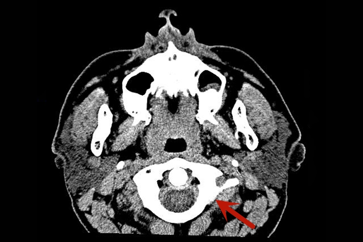
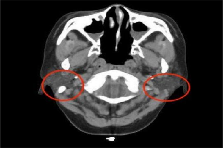
腮腺:CT图像上,腮腺位于下颌骨后,胸锁乳突肌前,上至颅底,位于乳突尖和颞颌关节之间,下至下颌角。腮腺是脂肪性腺体组织,密度低于周围的肌肉密度,但高于皮下、颞下窝及咽旁间隙内的脂肪。在腮腺实质内的血管能清楚显示,在增强图像显示更清楚。腮腺导管造影后CT扫描,能清楚勾画出导管的解剖结构,显示其粗细、走行及其变异。

异常
颌面部CT对于颌面部组织病变的发现、诊断及其范围确定等,均有重要价值。比如通过CT下腮腺腺体形态、大小和密度的变化,可以判断病变的部位及蔓延范围,良性肿瘤与恶性肿瘤的鉴别,以及腮腺外肿瘤的侵犯。
若有良性肿瘤,其CT特征是肿块多呈类圆形,边缘光整,密度均匀,其中血管瘤有明显强化。恶性肿瘤的形态多不规则,边界模糊,密度不均匀,肿块内常有出血、坏死或囊变,常侵犯周围软组织及脂肪间隙,颅底骨质破坏及淋巴结转移。
参考文献
[1]刘林祥,徐凯,王少春,杜勇,杜祥颖.5+3"十三五"规划教材 医学影像学 第2版[M].南京.江苏科学技术出版社.2018.311-312.
[2]菅吉华.临床疾病影像诊断[M].长春.吉林科学技术出版社.2019.303.
