概述
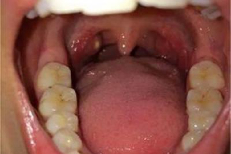
淋菌性咽炎可累及扁桃体,可表现为患者的双侧扁桃体轻微肿胀、充血。
该病是因淋病双球菌感染所致,主要是口腔接触生殖器而引起的,需遵医嘱进行相应治疗。
症状
淋菌性咽炎可累及扁桃体,可表现为患者的双侧扁桃体轻微肿胀、充血,扁桃体表面有一块椭圆形的白色脓片。患者自觉咽喉痛,吞咽时疼痛加重。

病因
淋菌性咽炎是因淋病双球菌感染所致,主要是口腔接触生殖器而引起的,在西方同性恋或异性恋多见。
治疗
对于淋菌性咽炎扁桃体化脓的情况,可遵医嘱采取药物治疗、一般治疗。
药物治疗:患者可遵医嘱选择青霉素类药物,以控制淋球菌感染,对青霉素过敏者可使用氟喹诺酮类抗菌药,如诺氟沙星、环丙沙星,或头孢类抗菌药,如头孢克肟、头孢克洛等。
一般治疗:生病期间注意隔离,禁止性行为,防止疾病传播。饮食宜清淡,避免吃辛辣、刺激的食物,多吃新鲜蔬菜、水果,多进食高蛋白食物,如牛奶、禽蛋等。
参考文献
[1]张学军,郑捷.皮肤性病学.第9版[M].北京.人民卫生出版社.2018.218.
[2]陈谦明.口腔黏膜病学.第5版[M].北京.人民卫生出版社.2020.149.
展开
