概述
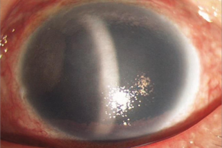
大泡性角膜病变可表现为眼球表面出现的弧形斑块,主要呈白色。
该病可能与内眼手术、眼外伤、眼部炎症等因素有关,需遵医嘱进行相应治疗。
症状
大泡性角膜病变可表现为眼球表面出现的弧形斑块,主要呈白色,与周围边界清楚,伴有雾视感、视力明显减退等自觉症状。

病因
大泡性角膜病变的常见病因为内眼手术、白内障摘除术、眼外伤、眼部炎症、单纯疱疹病毒感染等。由于各种原因严重损毁角膜内皮细胞,使角膜内皮细胞失代偿,使其失去液体屏障和主动液泵功能,引起角膜基质和上皮下持续水肿,角膜在长期弥漫水肿后所形成上皮下水疱状病变。
此外,不注意眼部卫生,经常用脏手揉搓眼睛者,可致眼部感染,诱发本病。
治疗
对于大泡性角膜病变眼球有弧形白斑的情况,首先应针对原发病因进行治疗。此外,患者可遵医嘱进行药物治疗、物理治疗、手术治疗。
药物治疗:轻者可遵医嘱局部应用高渗剂和保护、湿润角膜的药物,如玻璃酸钠滴眼液、氯化钠滴眼液、人工泪液。
物理治疗:可佩戴亲水性角膜接触镜,佩戴后可吸收角膜水分,使水疱减少甚至消失。
手术治疗:症状顽固或明显影响视力者,可在医生指导下考虑角膜内皮移植术、穿透角膜移植术、角膜层间烧灼术,可用于缓解症状。
参考文献
[1]葛坚,王宁利.眼科学.第3版[M].北京.人民卫生出版社.2015.203-204.
[2]杨培增,范先群.眼科学.第9版[M].北京.人民卫生出版社.2018.121-122.
展开
