概述
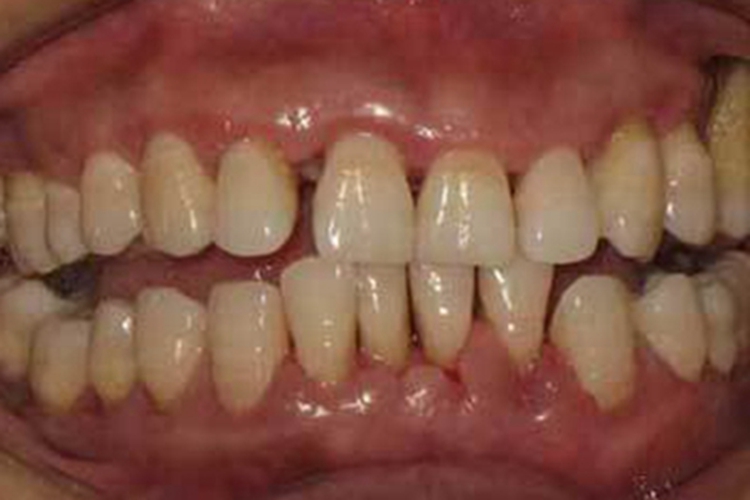
牙龈萎缩可表现为患者上、下牙龈明显红肿,局部颜色变为暗紫色。
该病与年龄、牙根倾斜度较大、牙周炎等因素有关,需遵医嘱进行相应治疗。
症状
牙龈萎缩可表现为患者上、下牙龈明显红肿,局部颜色变为暗紫色,个别牙齿根部出血,牙体变长,伴有牙龈敏感、食物嵌塞、龋齿等症状。

病因
牙龈萎缩与年龄、牙根倾斜度较大、牙周炎、刷牙方法不正确、正畸治疗、佩戴不良修复体、不良口腔卫生习惯等因素有关。
治疗
对于牙龈萎缩牙龈肿胀发紫的情况,首先应寻找病因,去除致病因素,如改正刷牙习惯、调整正畸力量、去除不良修复体等。同时可遵医嘱使用冰硼含片、牛黄解毒片、西瓜霜含片等药物缓解牙龈肿胀的症状。
日常应采取正确的刷牙方法(如巴氏刷牙法)刷牙,避免用刷毛过硬的牙刷。每间隔半年,做一次洗牙,清理牙结石。避免食用过热或过凉的、刺激的食物,避免喝碳酸饮料或饮酒,以免刺激牙龈。
参考文献
[1]曲兆明.口腔种植与牙周病诊治技术[M].天津:天津科学技术出版社,2018:277.
[2]樊明文.临床医学口腔医学[M].北京:中国协和医科大学出版社,2018:95.
展开
