概述
肺鳞癌又称肺鳞状上皮细胞癌,三期临床标记为Ⅲ期,会出现咳嗽、血痰、胸痛等症状。
肺鳞癌病因不明确,可能与吸烟、大气污染等因素有关,建议遵医嘱积极进行治疗。
症状
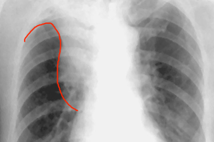
肺鳞癌又称肺鳞状上皮细胞癌,Ⅲ期已经处于晚期,会有明显的临床症状,如咳嗽、痰血或咯血、气短或喘息、胸痛、发热、全身消瘦等,当癌肿在较大的支气管内长大后,常出现刺激性咳嗽。肺鳞状上皮细胞癌常为中心型肺癌,X线胸片多表现为一侧肺门类圆形阴影,边缘毛糙,可有分叶或切迹,与肺不张或阻塞性肺炎并存时,下缘可表现为倒S状影像,是右上叶中央型肺癌的典型征象。


病因
肺鳞癌的病因不明确,危险因素包括吸烟、大气污染、烹饪油烟、职业接触(包括砷、镉、铬、镍、石棉、氢、电离辐射等)、饮食因素、遗传易感性、基因变异等。其中,长期大量吸烟是最重要风险因素,吸烟量越大、开始年龄越早,吸烟年限越长则危险性越高。
治疗
肺鳞癌的治疗应当根据患者的机体状况、病理学类型、侵及范围等,采取多学科综合治疗模式,强调个体化治疗。肺鳞癌Ⅲ期建议采取手术治疗联合术后化疗或序贯放化疗,或同步放化疗等,常用的化疗药物包括顺铂、卡铂等。
参考文献
[1]葛均波,徐永健,王辰.内科学.第9版[M].北京.人民卫生出版社.2018.75-85.
[2]陈孝平,汪建平,赵继宗.外科学.第9版[M].北京.人民卫生出版社.2018.265-270.
展开
