概述
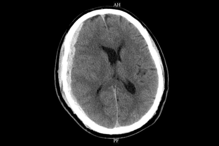
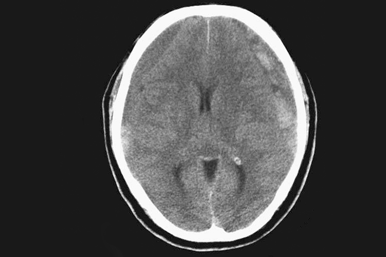
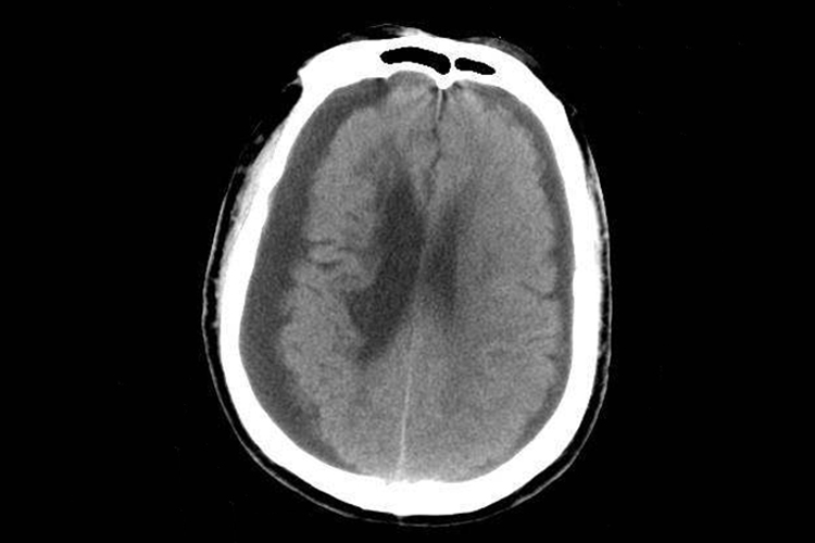
硬膜下血肿ct可见局部有高密度影,少数为等密度、低密度影。
硬膜下血肿多是颅脑损伤导致的颅内继发性出血,需及时进行相应治疗。
症状
硬膜下血肿的CT影像与发病类型有关,急性硬膜下血肿的CT大多表现为颅板下方的新月形高密度影,亚急性或慢性硬膜下血肿的CT可表现为高密度、等密度、低密度或混杂密度影。此外还常伴随昏迷、头痛、呕吐等症状。



病因
硬膜下血肿常为减速性头外伤所致,通常无颅骨骨折,或骨折仅位于暴力部位。多为静脉、小动脉或由大脑向上矢状窦汇入的桥静脉撕裂出血导致。
治疗
对于有明显症状的硬膜下血肿病人,应尽快进行手术治疗。首选钻孔置管引流术,血肿较小者在顶结节处钻一孔即可,较大者可在额部再钻一孔,可通过钻孔引流血肿,减轻颅内压力。若硬膜下血肿严重,还可进行开颅手术清除血肿。
参考文献
[1]韩萍,于春水.医学影像诊断学.第4版[M].北京.人民卫生出版社.2017.73-75.
[2]赵玉沛,陈孝平.外科学(上册).第3版[M].北京.人民卫生出版社.2015.273-274.
展开
