概述
白血病可出现皮肤非特异性的红色斑疹、丘疹、出血点及特异性的出血性坚实丘疹等。
白血病红点主要由药物过敏、病原微生物感染、凝血功能障碍、白血病细胞浸润等导致。
症状
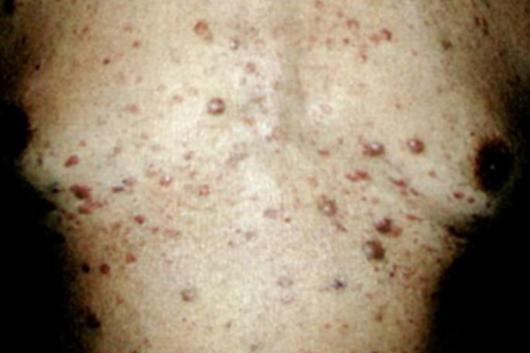
各种类型的白血病均可侵犯皮肤,从而出现皮肤红点,可分为非特异性和特异性两类。
非特异性皮损
白血病可引起非特异性的反应性皮损为多形性损害,红点可表现为红色斑疹、多形红斑、出血点等。
红色斑疹:白血病病人大多需要经常使用化疗性药物,而化疗药物具有刺激性,可能诱发过敏反应,从而导致白血病患者的皮肤出现红色斑疹。一般情况下质地较硬、多发生在眼耳、口鼻双颊等部位,可伴有瘙痒和脱屑等表现;
多形红斑:指发生在皮肤上的多种形态的红斑性损害,有斑疹、丘疹、水疱或大疱,以丘疹形多见;

出血点:在皮肤表面出现不凸起于皮肤的散在的红色斑点等,并且压之不褪色,多为瘀点,并且可随时间的延长逐渐扩大,最后发展为瘀斑、紫癜等。

特异性损害
白血病细胞浸润到皮肤引起异性损害,常表现为出血性的坚实丘疹和结节,可见紫癜或溃疡,此外还可表现为红色斑丘疹、斑块、肿块等,常位于躯干和四肢,也可见于黏膜部位。

病因
白血病出现红点可能是药物或病原微生物感染,引起皮肤损害和炎症,从而出现红色斑疹;或由于白血病细胞异常增多,引起凝血功能障碍,从而在皮肤表面出现出血点。此外,白血病细胞浸润到皮肤引起特异性损害,可引起出血性的坚实丘疹和结节等。
诊断
可根据患者的病史(是否有贫血、感染、出血等症状)、体格检查、末梢血片、骨髓片以及免疫组化等确诊。
治疗
主要是针对原发病进行治疗,即积极治疗白血病,白血病得到有效治疗后,红点多会消退。白血病治疗可使用地塞米松、阿糖胞苷、羟基脲等化疗药物,治疗期间需注意防治感染。如果患者出现严重贫血,可通过吸氧、输浓缩红细胞治疗,还需防止高尿酸血症肾病的发生,鼓励患者多饮水,治疗时还需注意营养补充,维持水、电解质平衡。同时对于非特异性皮损可对症治疗,特异性皮损可X线治疗,改善红点的症状。
参考文献
[1]张建中,高兴华.皮肤性病学.第1版[M].北京.人民卫生出版社.2015:385-386.
[2]葛均波,徐永健,王辰.内科学.第9版[M].北京.人民卫生出版社.2018.574.
