概述
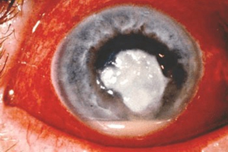
棘阿米巴角膜炎是由棘阿米巴原虫感染引起,可表现为局部形成溃疡,并有斑点或片状混浊,伴有眼痛,可遵医嘱给予药物治疗。
症状
棘阿米巴角膜炎多为单眼发病,患眼畏光、流泪伴视力减退,眼痛剧烈,病程可长达数月。临床可表现为局部充血,眼球上出现溃疡,基质水肿增厚,并有斑点或片状混浊。

病因
棘阿米巴角膜炎是由棘阿米巴原虫感染引起,约90%的患者与角膜接触镜的使用有关,角膜外伤、角膜移植和接触棘阿米巴污染的水源也是常见原因。棘阿米巴有50多个种属,其中8个种属和人类感染有关,而卡氏棘阿米巴是导致棘阿米巴角膜炎的最常见病原体。
治疗
早诊断、早治疗是改善棘阿米巴角膜炎预后的关键,早期可试行病灶区角膜上皮刮除。可联合使用氨基糖苷类、咪唑类药物,还可在医生指导下尝试使用氯己定、咪康唑等。
口服伊曲康唑或酮康唑也可用于本病的治疗。可能出现角膜溃疡穿孔者,应考虑行结膜瓣遮盖甚至角膜移植术。愈后形成角膜混浊严重影响视力者,可行穿透性角膜移植术,以上治疗均需遵医嘱进行。
参考文献
[1]杨培增,范先群.眼科学.第9版[M].北京.人民卫生出版社.2018.116-117.
[2]葛坚,王宁利.眼科学.第3版[M].北京.人民卫生出版社.2015.197-198.
展开
