概述
骨折可发生在部分患者的手掌,有时表现为局部骨头的中部有裂纹。该情况是骨组织受暴力作用而发生,治疗均需遵医嘱进行。
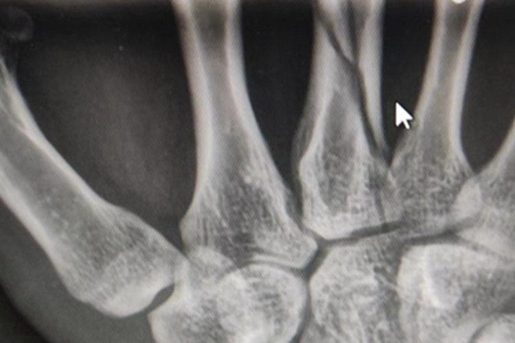
症状
骨折可发生在部分患者的手掌,有时表现为局部骨头的中部有裂纹,形状不规则,没有明显的错位,伴有一定的疼痛感。患者正常工作、生活因此受影响。

病因
骨折手掌的骨头有裂纹,是骨组织受暴力作用而发生。常见原因有人身攻击、运动伤、摔伤、道路交通事故伤、工伤等。骨质疏松症会增加此种情况发生的可能性。
治疗
对于骨折手掌的骨头有裂纹情况,需要根据具体情况,采取合适的治疗措施,常见的有内固定手术、外固定手术等。同时患者可应用药物,如对乙酰氨基酚片、布洛芬片等,可以缓解疼痛,必要时应用盐酸氢吗啡酮注射液等药物。注意上述治疗均需遵医嘱进行。
在日常生活中,患者需要加强个人护理,避免外伤,以免再次骨折。
参考文献
[1]宋敬东编著.图解家庭医学百科 全彩图解典藏版[M].天津.天津科学技术出版社.2018.04.254-255.
[2]本书专家组编.公卫医师应试指导 2016版[M].北京.中国协和医科大学出版社.2016.01.319-321.
[3]王玲娣主编.实习护士手册;第3版[M].上海.上海科学技术出版社.2016.08.303.
展开
