概述
脑癌即为恶变的脑肿瘤,主要表现为影像学变化,如脑组织变形等,伴随功能异常的症状。
脑癌病因并不十分明确,可能与基因组变化、射线、外伤、化学物质、病毒等因素有关。
症状
脑癌即为恶变的脑肿瘤,属于中枢神经肿瘤的一种。脑癌患者体表多不出现皮损,其症状多为功能异常,常见颅内压增高,导致头痛、呕吐、视乳头水肿、精神症状等。
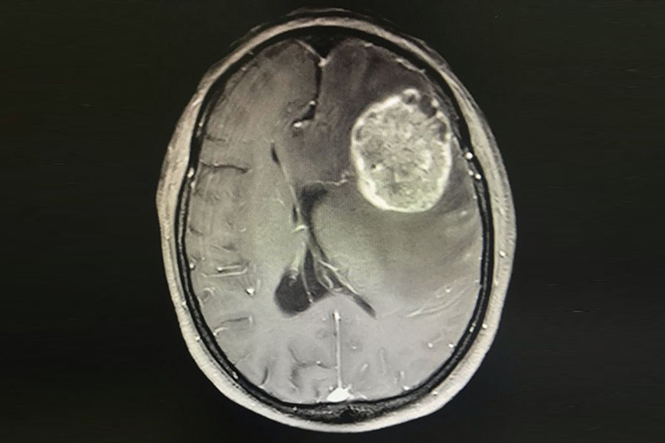
患者行脑部CT、核磁共振等影像学检查,可发现脑室系统的变性与移位,颅内密度减低区提示存在囊肿、软化灶,核磁共振可发现异常低信号、高信号,可显示整个脑癌肿物。由于脑癌肿物对周围脑组织产生压迫,可引起运动、语言、视觉等功能异常。

病因
脑癌病因并不十分明确,可能与基因组变化有关,脑癌的发生、发展可涉及多基因的相互作用、多阶段、多步骤的过程。还可能与射线、外伤、化学物质、病毒等相关。
治疗
脑癌的治疗以手术切除为主,常用手术方法有肿瘤切除手术、外减压手术等。还可联合放射治疗、化学治疗、免疫治疗等方法,以延长患者寿命。
参考文献
[1]周良辅.现代神经外科学.第2版[M].上海.复旦大学出版社.2015.535-551.
[2]吴肇汉,秦新裕,丁强.实用外科学 上册.第4版[M].北京.人民卫生出版社.2017.1111-1119.
展开
