概述
牙缝里长肉芽可能是牙龈息肉或者牙龈瘤所致。牙齿龋洞内可形成的息肉样肉芽组织,还可出现牙龈肿大及肿块症状。
症状
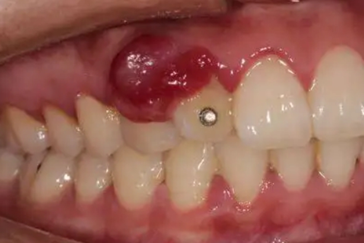
牙缝里长肉芽临床常见于牙龈息肉或牙龈瘤等疾病,其症状因疾病的不同有所差异。
牙龈息肉:患牙齿邻面多有龋洞,牙龈乳头可向龋洞增生,形成息肉样物体,看似牙缝里长了肉芽,患者可伴有疼痛、出血等表现。

牙龈瘤:表现为牙龈乳头处出现肿块,肿块呈圆球形或椭圆形,表面可呈分叶状,一般直径由几毫米至1-2cm。肿块可有蒂如息肉状,可无蒂基底宽。较大的肿块可被咬破而伴发溃疡、出血或感染。

病因
牙龈息肉多是在患牙邻面出现龋洞时,由于食物长期嵌塞加之患牙龋损处粗糙边缘的刺激,牙龈乳头增生进入龋洞所形成的空间,形成息肉样肿块。而牙龈瘤是由于菌斑、牙石、食物嵌塞或不良修复体等刺激因素引起牙龈局部长期的慢性炎症,致使牙龈结缔组织形成反应性增生物。
治疗
牙龈息肉时,可自蒂部将息肉切除,息肉切除后,需及时修补龋齿。部分牙龈瘤通过彻底的牙周基础治疗和良好的菌斑控制可以完全消退。如基础治疗疗效欠佳,则应当进行手术彻底切除。将瘤体连同骨膜完全切除,防止复发。若复发次数多,应将病变波及的牙齿拔除,防止再发。
参考文献
[1]周学东.牙体牙髓病学.第5版[M].北京.人民卫生出版社.2020.160-170.
[2]张志愿.口腔科学.第9版[M].北京.人民卫生出版社.2018.66.
展开
