概述
慢性牙周炎可引起牙龈发生萎缩,导致牙根暴露在外,牙齿缝隙增宽、变大。
本病的发生与牙菌斑、(牙合)创伤、宿主全身易感因素有关,需遵医嘱治疗。
症状
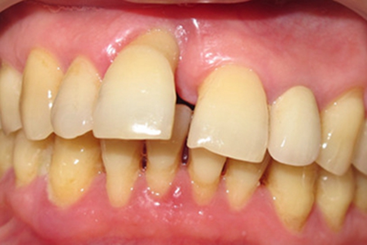
慢性牙周炎可导致牙龈有不同程度的萎缩,表现为牙周袋和牙槽骨吸收,导致牙根暴露在外,牙齿之间的缝隙增宽、变大,同时牙龈可有异常的肿胀隆起,触之易出血。患者咀嚼食物时易出现食物嵌塞,随着疾病的发展,部分患者可出现牙齿移位、松动以及咀嚼无力、疼痛等不适。

病因
慢性牙周炎是由牙菌斑生物膜引起的牙周组织的慢性感染性疾病,疾病的发生与牙菌斑、(牙合)创伤、宿主全身易感因素有关,堆积在牙龈结合部的牙面和龈沟内的菌斑微生物,及其产物引发牙龈的炎症和肿胀,长期的慢性刺激可导致牙龈有异常的萎缩。
治疗
慢性牙周炎患者出现牙龈萎缩时,可遵医嘱进行洁治术、刮治术等治疗,以控制牙菌斑、彻底清除牙石。局部炎症明显时,可在医生指导下使用阿莫西林胶囊、甲硝唑片等抗感染药物治疗。
参考文献
[1]马国武主编.口腔执业助理医师资格考试应试指导.2019版[M].北京.中国协和医科大学出版社.2018.12.348-349.
[2]陈彬,冯晔,韦明霞,陈颉,林浩等编.现代口腔科诊疗精要[M].哈尔滨.黑龙江科学技术出版社.2019.05.88-91.
展开
