概述
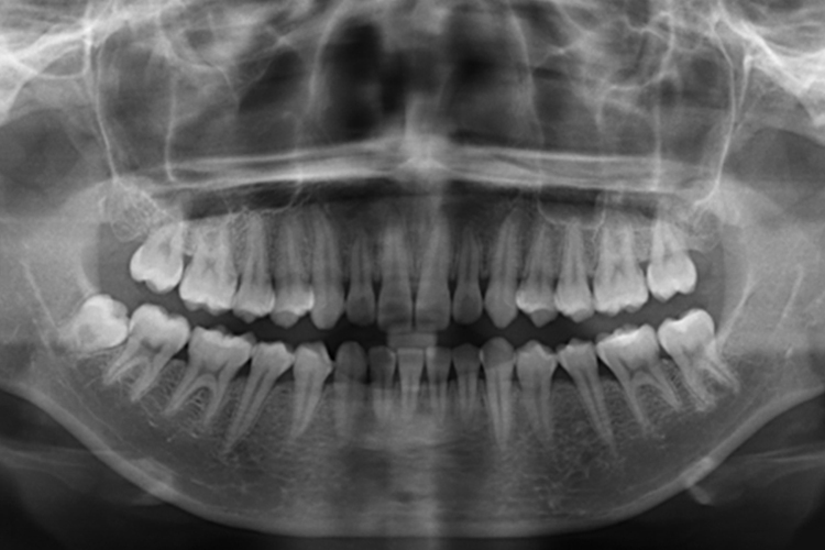
牙齿咬合指牙齿接触,牙齿咬合关系指咀嚼时牙齿接触关系,牙齿咬合关系分为正中咬合和非正中咬合,X光即X线片表现有所差异。
X线表现
牙齿咬合关系分为正中咬合和非正中咬合,非正中咬合又分为前伸咬合及侧咬合,X线片表现有所差异。
正中咬合
下颌在正中位时,上下颌牙尖窝交错、最广泛地均匀接触。

非正中咬合
前伸咬合:下颌前伸至上下前牙切端相对,然后滑回正中位过程中,前、后牙都有接触。

侧咬合:下颌侧方咬合至工作侧,上下颌后牙颊尖相对,然后滑回正中位过程中,工作侧牙尖相对接触。

日常护理
理想的咬合关系能够保持牙齿在行使咀嚼等功能时稳定,使(牙合)力尽量均匀地、同时地传递到尽可能多的支持组织上,有利于保证咀嚼、美观和发音功能的同时,维护口颌系统健康,尽量避免对支持组织的损伤。
日常应注意口腔护理,可以少量多次饮水防止口腔黏膜干燥,保持口腔湿润,少食含糖食品,多吃具有自洁作用的纤维性食物,如蔬菜、水果等。坚持餐后漱口,提倡每日数次频繁漱口,有利于清除牙间隙、牙根部的食物残渣,而且还有利于口腔周围肌肉的运动。
参考文献
[1]林久祥,赵铱民主编.中华医学百科全书.临床医学.口腔医学3[M].北京.中国协和医科大学出版社,2019.176.
[2]王松灵著.口腔医学1[M].北京:中国协和医科大学出版社,2017.08:181-182.
展开
