概述
酸蚀症可使牙齿缺损,缺损处颜色发黄,是由于高酸性环境对牙齿的破坏导致,需进行充填治疗。
症状
酸蚀症可使牙齿缺损,缺口不平整,导致牙齿骨质有凹陷坑洞,缺损处颜色发黄,有一定酸涩感。若不干预,牙骨质可进一步被破坏。

病因
酸蚀症是由于长期暴露在高酸性环境下,牙齿表面的矿物质被溶解而引起的。高酸性环境可以来自于饮食习惯,如经常摄入酸性饮料和食物,或者患有胃酸逆流等问题。当牙齿长时间暴露在酸性环境中,酸会溶解牙釉质,破坏牙齿的矿物质结构。这会导致牙齿缺损,使牙齿表面变得不平滑,容易吸附色素,从而引起牙齿发黄。
治疗
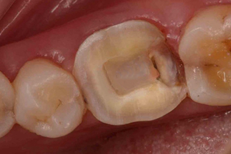
对于酸蚀症引起的牙齿缺损和发黄,遵医嘱进行充填治疗是一种常见的治疗方法。在这个过程中,牙医会首先清理和去除受损的牙齿组织,并清洁牙齿表面,以便做好充填准备工作。然后牙医会使用合适的充填材料,如树脂或陶瓷材料,填补牙齿缺损部位。充填治疗不仅可以修复牙齿的形状和结构,还可以改善牙齿的外观,使其看起来更加自然和美观。
参考文献
[1]张志愿.口腔科学.第9版[M].北京.人民卫生出版社.2018.49.
[2]张震康,俞光岩,徐韬.实用口腔科学.第4版[M].北京.人民卫生出版社.2016.39-40.
展开
