概述
颈椎含有椎体、横突和椎弓板等,正位片中椎体呈长方形,椎体两侧有横突影。侧片位中椎体也成长方形,椎管为透明的半透亮区。
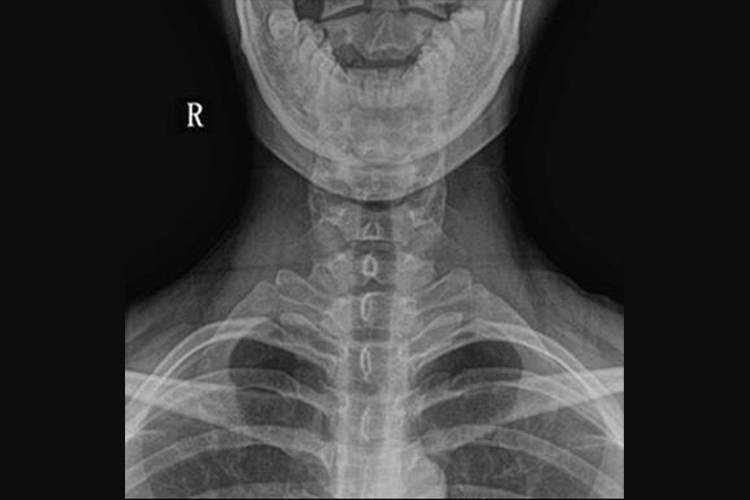
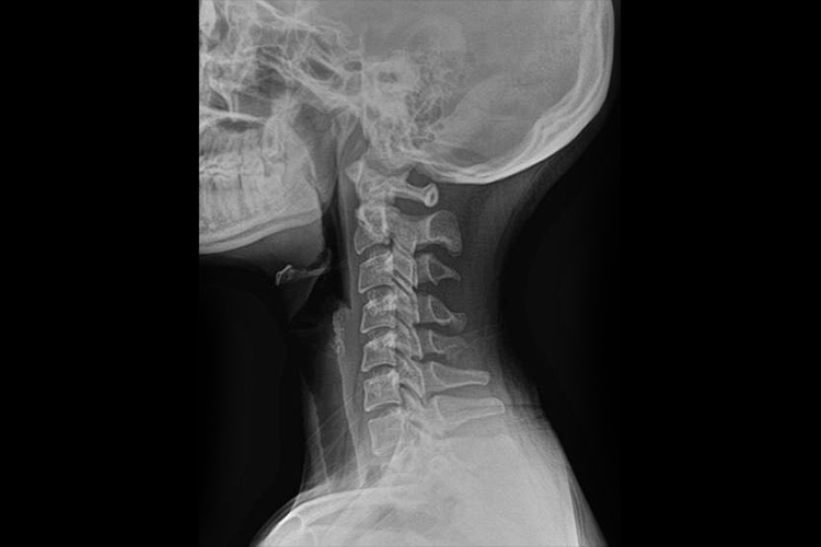
正侧位片图片
颈椎正位片和侧位片的表现不同,具体如下:
颈椎正位片:椎体呈长方形,从上向下依次增大,周围为一层致密的骨皮质,密度均匀,轮廓光滑。椎体两侧有横突影,在横突内侧可见椭圆形环状致密影,为椎弓根的投影。在椎弓环的上下方为上下关节突的影像,椎弓板由椎弓根向后内延续,在中线融合成棘突,投影于椎体中央的偏下方,呈尖向上类三角形结构。

颈椎侧位片:椎体呈长方形,上下缘与前后缘成直角,在椎体后方的椎管显示为纵行的半透亮区。椎弓板位于椎弓根与棘突之间,颈椎小关节间隙为匀称的半透明影,颈椎小关节侧位片显示清楚。椎间盘的纤维软骨板、髓核及周围的纤维环系软组织密度,故呈宽度匀称的横行半透明影。

作用
X线片可发现颈椎有无骨骼异常,常规拍摄颈椎正位片和侧位片,可明确有无骨折、椎间盘突出、骨质破坏、颈椎间隙是否变窄等。若影像结果提示异常,需要结合症状、体征等综合判断,并积极治疗。
参考文献
[1]徐克,龚启勇,韩萍.医学影像学.第8版[M].北京.人民卫生出版社.2018.271-274.
[2]姜虹.骨外科学 高级医师进阶.第1版[M].北京.中国协和医科大学出版社.2016.103.
展开
