概述
正常牙齿为有光泽的黄白色,各种内部或者外部原因均可造成牙齿颜色或色泽改变,导致牙齿发黑。
按照原因不同牙齿黑可分为外源性牙齿黑与内源性牙齿黑,外源性牙齿黑主要与色素沉积有关,内源性牙齿黑主要与龋齿有关。
症状
外源性牙齿黑
进入口腔的外来色素沉积在牙齿表面可引起牙齿发黑,这种原因导致的牙齿发黑牙齿内部组织结构完好,只影响牙的美观,不影响牙齿功能。槟榔牙与烟渍牙为常见的外源性牙齿黑,与患者长期吸烟、嚼槟榔有关。

内源性牙齿黑
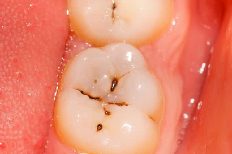
浅龋发生在牙釉质表面,牙齿会出现白垩色、黄褐色或黑色斑点。中龋病变发生在牙本质浅层,龋损部的牙本质呈黄褐色或深褐色。深龋龋洞深大,达到牙本质深层,颜色呈黄褐色或深褐色。


病因
外源性牙齿黑多见于饮食、药物等原因导致的色素沉积,包括长期饮用有色饮料(如茶、咖啡、红酒等)、吸烟、嚼槟榔;长期使用氯已定漱口或氯已定牙膏,局部使用硝酸银或氨硝酸银治疗;职业原因长期接触铁、硫等矿物质,以上原因均可导致牙齿黑。内源性牙齿黑多见于龋齿导致的牙釉质损坏。
诊断
外源性牙齿黑通过询问日常饮食、吸烟或用药的经历,同时结合牙齿特点即可确诊。内源性牙齿黑多见于龋齿,一般直接观察牙齿外观,用探针检查可以确诊,必要时可做牙齿X线片。
治疗
外源性牙齿黑一般采取常规的口腔卫生清洁,包括超声波洁牙、喷砂洁牙均可去除污渍,严重者可能需要经过多次反复清洁。内源性牙齿黑多见于龋齿,未形成龋洞可采取药物或再矿化治疗,一旦形成龋洞可采取牙体修复治疗。若龋坏程度较严重,需根据相应临床症状采取治疗措施,包括垫底修复、安抚治疗、间接盖髓术等。
参考文献
[1]郑浩,羊书勇,郭松,李娟等主编. 实用临床口腔学[M].长春:吉林科学技术出版社,2017.03.
[2]张志愿主编.口腔科学[M].北京:人民卫生出版社, 2008.06.
展开

