概述
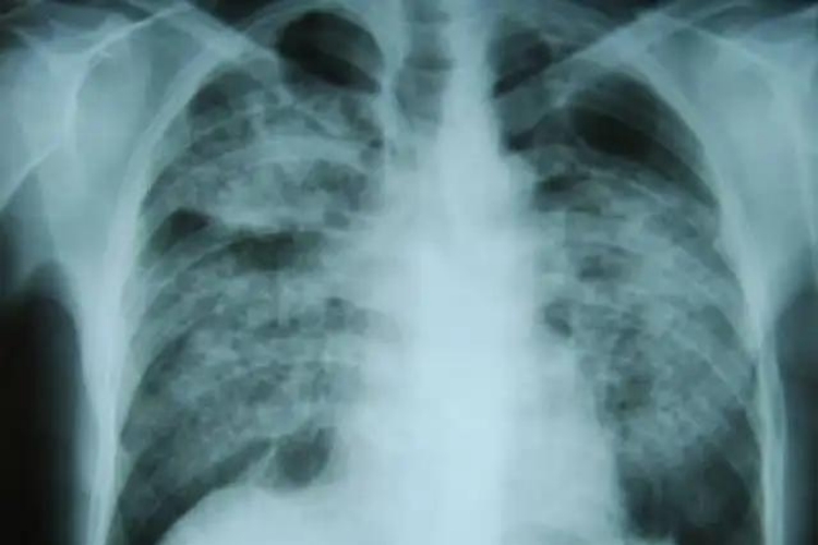
尘肺病是由于长期吸入粉尘引起的肺组织弥漫性纤维化疾病,CT可见肺部有弥漫分布的阴影,解剖可见肺部呈灰黑色,表面有黑色斑点。
症状
尘肺病的肺可呈灰黑色,表面有坚实的类圆形结节,结节境界清楚。在肺部可以看到尘斑分布,通常是灰黑色或黑色、质地坚韧的纤维性团块,影像学检查可见弥漫性纤维化表现。此外,患者可出现咳嗽、胸闷、疼痛、呼吸困难等症状。


病因
尘肺病主要是由于职业活动中长期吸入生产性粉尘(煤、二氧化硅、石棉等)导致,粉尘在肺内沉积就可以引起肺组织的弥漫性纤维化,从而导致尘肺病。
治疗
尘肺病需进行大容量肺灌洗术治疗,改善患者的肺通气功能,临床可使用葡萄糖酸锌、亚硒酸钠等药物减慢肺纤维化进展。而针对尘肺病患者出现的肺心病、感染等症状,则需进行心肺康复,增加心肺功能。
参考文献
[1]刘凤英,齐洁,李自喜,郁兴彩,曹秀芬主编;马青凤,王三菊,朱丽,李晓康等副主编.肺康复临床实践与护理[M].汕头.汕头大学出版社.2019.01.73.
[2]毕丽岩.呼吸内科学 高级医师进阶.第1版[M].北京.中国协和医科大学出版社.2016.381.
展开
