概述
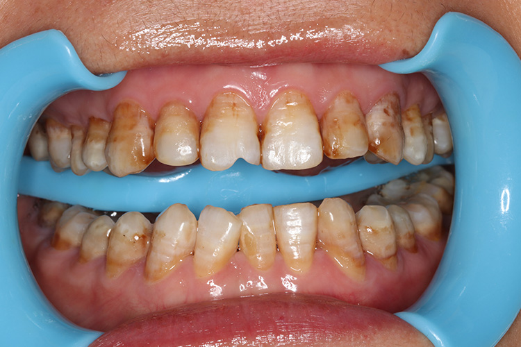
氟斑牙可表现为牙釉质上有白垩色、褐色样斑块,伴有不同程度的牙齿缺损。
氟斑牙的发生可能与氟摄入异常有关,患者需要进行相应的牙齿修复治疗。
症状
氟斑牙好发于恒牙,可表现为牙釉质上有白垩色到褐色的斑块,随着疾病的进展患者可出现牙釉质的实质性缺损。氟斑牙会导致牙齿对摩擦的耐受性降低,但对酸的抵抗力增强,严重者可伴有氟中毒的表现,如氟骨症。

病因
氟斑牙好发于高氟地区的婴幼儿及儿童(7岁之前),多因饮水等途径从环境中摄入过量的氟,导致牙釉质发育不良或者矿化不全,使牙釉质多孔性增加,表层牙釉质塌陷,进而形成牙体缺损样表现。
治疗
生活中应积极预防氟斑牙的发生,而预防氟斑牙的关键时间在7岁之前,尽量避免摄入过量的氟。对于已形成氟斑牙的患者,可通过复合树脂修复、贴面修复及烤瓷冠修复等方法治疗。
参考文献
[1]张志愿.口腔科学.第9版[M].北京.人民卫生出版社.2018:45-46.
[2]周学东.牙体牙髓病学.第5版[M].北京.人民卫生出版社.2020:52-56.
展开
