概述
氯痤疮皮损局部可见密集分布的黑头粉刺,用手触摸皮损处有凹凸不平感,需遵医嘱进行局部治疗或物理治疗。
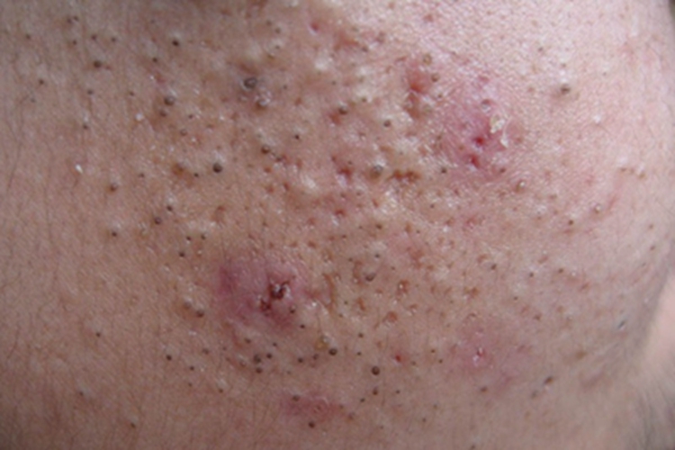
症状
氯痤疮初发时常为密集的针尖状小黑点,后可逐渐形成较大的黑头粉刺,伴有毛囊口角化,触摸局部凹凸不平,可同时存在有粟丘疹样皮损。


病因
氯痤疮多由卤代烃类化合物引起,其发病机制与皮脂腺的鳞状上皮增生以及毛囊外根鞘部位的增粗有关,致病物质作用于未分化的皮脂腺细胞,使其转化为角质形成细胞,导致细胞增殖角化,产生黑头及囊肿。
治疗
氯痤疮治疗时需及时脱离致病物质,用温水及中性肥皂清洗皮肤,减少油脂附着,并可遵医嘱外用阿达帕林凝胶、红霉素软膏及过氧苯甲酰凝胶等。另外,还可选择蓝光、红光治疗仪或使用光动力疗法,对于瘢痕可选择皮肤磨削术或激光换肤治疗。
参考文献
[1]李艳.实用皮肤科疾病诊断治疗[M].北京.科学技术文献出版社.2018.136-137.
[2]张嘉勇,巩学敏,刘楠.职业病危害与防治[M].武汉.武汉大学出版社.2018.43-44.
[3]张建中,高兴华.皮肤性病学.第1版[M].北京.人民卫生出版社.2015.148.
展开
