概述
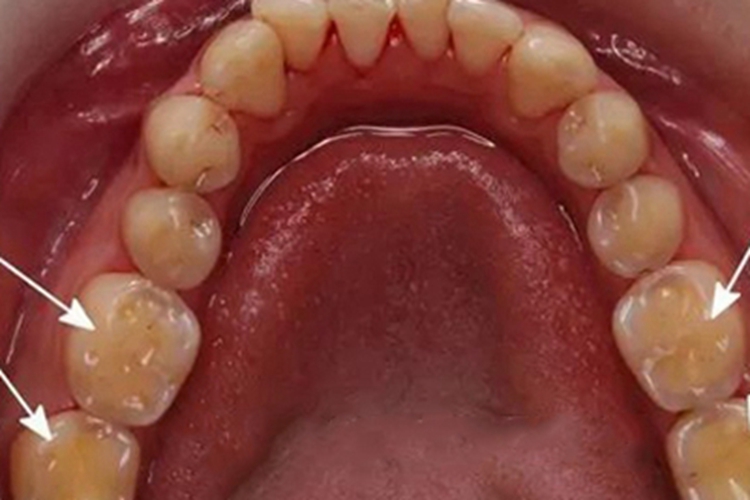
牙齿出现酸蚀症时,可有骨质缺损,牙冠表面有许多坑洼,是由酸性物质溶解牙齿釉质导致,需进行充填治疗。
症状
牙齿出现酸蚀症时,可有骨质缺损,牙冠表面有许多坑洼,大小不一,使之不平整,坑洞可随病情进展进一步扩大。

病因
酸蚀症通常由饮食中的酸性物质,如柠檬汁、碳酸饮料等,以及胃酸或唾液中的酸性物质,如胃酸逆流引起,这些酸性物质可以溶解牙齿釉质中的钙和磷离子,使牙齿表面变得脆弱。长期暴露于酸性环境下,牙齿的釉质会逐渐溶解,形成凹槽状的缺损,有坑。
治疗
酸蚀症引起的牙齿缺损有坑,可以通过充填治疗来修复。充填治疗是使用耐酸性材料填充至缺损部位,以恢复牙齿的功能和外观。充填治疗可以修复酸蚀症引起的牙齿缺损,恢复牙齿的外观和功能,提供保护和支持。具体的治疗方案请咨询专业医生,以便根据个体情况进行调整和指导。
参考文献
[1]张志愿.口腔科学.第9版[M].北京.人民卫生出版社.2018.49.
[2]张震康,俞光岩,徐韬.实用口腔科学.第4版[M].北京.人民卫生出版社.2016.39-40.
展开
