概述
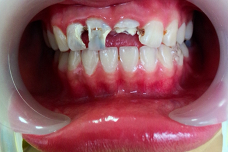
急性浆液性根尖周炎可表现为牙龈红肿,局部组织充血,多由感染的牙髓通过根尖孔刺激根尖周组织而引起。
症状
急性浆液性根尖周炎是根尖周炎的初发阶段,可表现为牙龈黏膜充血、红肿,时常有牙齿发痒的感觉,偶尔咀嚼时会有疼痛出现,可见少量液体渗出。


病因
急性浆液性根尖周炎多由感染的牙髓通过根尖孔刺激根尖周组织而引起。此外,创伤、根管治疗时药物刺激等因素均可造成本病的发生。
治疗
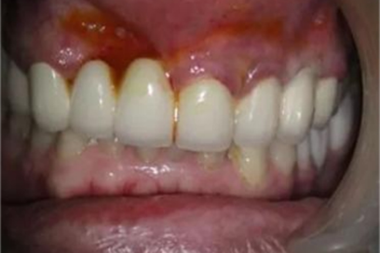
急性浆液性根尖周炎首先需要消炎止痛,待症状缓解后采用根管治疗或牙髓塑化治疗。可对患牙进行开髓、拔髓,并用消毒剂(如次氯酸钠)浸泡、冲洗根管,并对根尖周组织的炎症渗出液进行引流,缓解局部压力。但是需注意,应在医生指导下治疗。
参考文献
[1]周学东.牙体牙髓病学(第5版)[M].北京:人民卫生出版社,2020:179-183.
[2]张志愿.口腔科学(第9版)[M].北京:人民卫生出版社,2018:56-57.
[3]北京医师协会组织编写.口腔科诊疗常规[M].北京:中国医药科技出版社,2020:33-35.
[4]潘巧玲.临床口腔疾病诊治[M].长春:吉林科学技术出版社,2019:112-115.
[5]刘青,许玲,赵永波.当代口腔疾病诊断与治疗[M].长春:吉林科学技术出版社,2019:57-60.
展开
