概述
老年性点状白斑是一种皮肤自然老化或光老化现象,可表现为圆形白色斑片。多见于40岁以上的人群,年龄越大,发病率越高。
症状
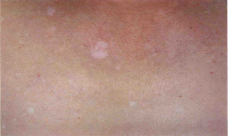
老年性点状白斑皮损为豆粒大小、圆形白色斑点,呈多发性、散在分布。随年龄增长,白色斑点会增多,但不会融合,最大特点是白色斑片稍稍凹陷,低于正常皮肤水平,而且境界十分明确。无自觉症状。多见于40岁以上的人群,年龄越大,发病率越高。

病因
老年性点状白斑是因年龄增大,皮肤自然老化或光老化引起,进而在身体皮肤上出现点状的白斑。
治疗
老年性点状白斑不是病理改变,属皮肤老化的皮肤改变,无须治疗。平时需注意防晒,避免使用刺激性润肤乳等。
参考文献
[1]常建民编著.色素性皮肤病[M].北京:中国科学技术出版社,2020.68.
[2]李艳.实用皮肤科疾病诊断治疗[M].北京:科学技术文献出版社,2018.325.
展开
