概述
玻璃体疝可见患者眼球充血,颜色鲜红较明显。发生在手术后或外伤后,需遵医嘱治疗。
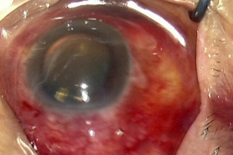
症状
玻璃体疝可见患者眼球充血,弥漫性分布红血丝,颜色鲜红较明显,患处边界清晰,也可因边界弥散而不清晰,当玻璃体前界膜破裂时,疝出的玻璃体如棉絮状分布于前房内自由飘动。

病因
玻璃体疝几乎均发生在手术后或外伤后,如白内障摘除手术、晶状体悬韧带断裂、晶状体半脱位或脱位,虹膜根部离断等。
治疗
玻璃体疝需遵医嘱治疗,对程度较轻、无明显症状者,无需特殊治疗;浅前房、继发性瞳孔阻滞性青光眼,遵医嘱用降眼压药物治疗,药物治疗无效者,手术治疗清除前房玻璃体。
参考文献
[1]杨文利.临床眼超声诊断学[M].北京.科学技术文献出版社.2019.84.
[2]张红编著.临床眼外伤病学[M].天津.天津科学技术出版社.2014.161.
展开
