概述
肠梗阻的DR图像可表现为小肠、结肠轻到中度扩大,有气液平面,由狭窄、扭转等导致。
肠梗阻可分为单纯性小肠梗阻、麻痹性肠梗阻、结肠梗阻,需进行药物、手术治疗。
症状
DR是指数字X线摄影,为X线的一种,是采用X线探测器将X线图像变成电信号,再转化为数字图像的技术。肠梗阻可分为单纯性小肠梗阻、麻痹性肠梗阻、结肠梗阻等类型,其DR影像存在细微区别。
单纯性小肠梗阻
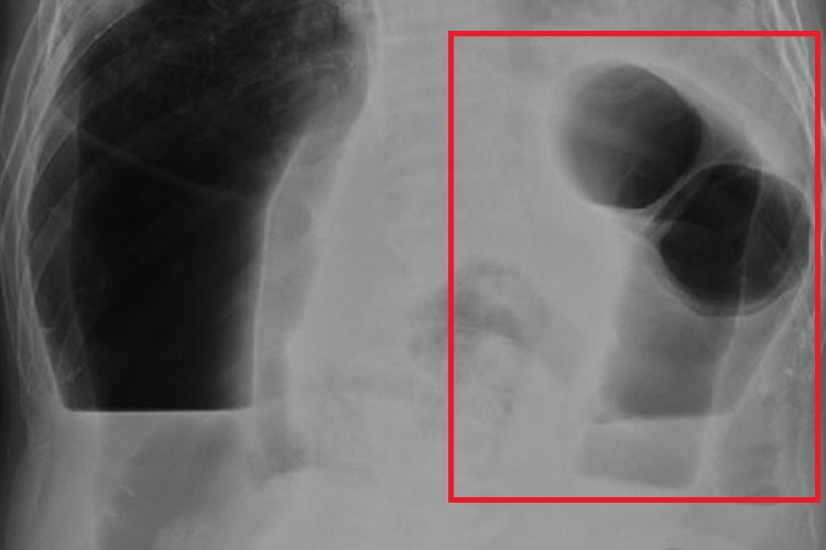
单纯性小肠梗阻表现为梗阻以上肠腔扩大积气积液,立位或水平侧位可见气液平面,梗阻以下肠腔萎陷无气或仅见少量气体。存在阶梯状液面征,在立位腹部平片上表现为梗阻近侧的肠曲胀气扩张,呈弓形或拱门状或倒U形,弓形肠曲两端的液面可处于不同高度,多个弓形肠曲液面在腹部自左向右下平行排列成阶梯状。

麻痹性肠梗阻
麻痹性肠梗阻仰卧位腹部平片上表现为整个胃肠道普遍性扩张,胃、小肠和结肠均见轻到中度扩大、胀气,尤以结肠胀气较明显。站立位平片上表现为在小肠和结肠内可见宽窄不等的气液平面,分布范围较广。

结肠梗阻
结肠梗阻仰卧位腹平片上表现为梗阻部位以上结肠充气扩张,被液体所充填,位于腹部周围,可显示出结肠袋借以与小肠区别,在站立位片上可见结肠内有宽大的气液平面。

病因
肠梗阻是指肠内容物正常运行发生障碍,不能顺利通过肠道,是外科常见的急腹症,常见病因包括急性腹膜炎、急性肠炎(特别是急性中毒性肠炎)、腹部手术后、全身麻醉,以及肠内肿瘤、炎性狭窄、肠扭转、败血症等。
治疗
肠梗阻患者需禁饮食,给予胃肠减压,小肠低位梗阻者需用双腔减压管。应注意纠正水、电解质和酸碱平衡失调,遵医嘱使用抗生素预防或控制感染。必要时需手术去除肿瘤、肠道狭窄、肠道扭转等病因。
参考文献
[1]王承明.全科医学 高级医师进阶.第1版[M].北京.中国协和医科大学出版社.2016.460-461.
[2]金征宇,龚启勇.医学影像学.第3版[M].北京.人民卫生出版社.2015.331-333.
[3]韩丰谈.医学影像设备学.第4版[M].北京.人民卫生出版社.2016.100.
