概述
良性骨肿瘤表现为骨性包块、疼痛、畸形等,临床上常见骨软骨瘤、骨样骨瘤、软骨瘤等类型,可通过影像学诊断,主要进行手术治疗。
症状
临床上常见的良性骨肿瘤有骨软骨瘤、骨样骨瘤、软骨瘤,临床表现有差异,具体如下:
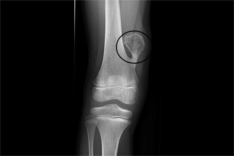
骨软骨瘤
骨软骨瘤是位于骨表面的骨性突起物,顶面有软骨帽,中间有髓腔。患者可长期无症状,会出现骨性包块,若肿瘤压迫周围组织或其表面的滑囊发生炎症,则可产生疼痛、局部麻木、活动受限等。X线可在干骺端见从皮质突向软组织的骨性突起。

骨样骨瘤
骨样骨瘤主要表现为逐渐加剧的局部疼痛和压痛,以夜间为重,疼痛比一般肿瘤明显,发生于四肢可能会继发畸形。X线检查可见1-2cm直径的圆形或卵圆形透明灶。

软骨瘤
软骨瘤主要表现为局部骨质肿大,初期通常无明显症状。等到局部逐渐膨胀明显,会发生手和足趾畸形,伴有酸胀感以及病理性骨折。内生软骨瘤X线显示髓腔内有椭圆形透亮点,呈溶骨性破坏,皮质变薄无膨胀,溶骨区内有间隔或斑点状钙化影,骨膜下软骨瘤在一侧皮质形成凹形缺损,并可有钙化影。

病因
良性骨肿瘤的病因不明,可能与基因、内分泌、化学元素物质、病毒感染等多种因素相关,部分多发性骨软骨瘤与家族遗传有关。
治疗
良性骨肿瘤的治疗以手术治疗为主,如骨软骨瘤一般不需要治疗,但如肿瘤导致局部疼痛、妨碍关节活动或压迫血管、神经和脏器时,应尽快行手术切除。骨样骨瘤通过手术将瘤体及其外围骨组织进行彻底清除,避免其复发。软骨瘤可行刮除或病段切除等方法进行治疗。
参考文献
[1]陈孝平,汪建平,赵继宗.外科学.第9版[M].北京.人民卫生出版社.2018.774-776.
[2]姜虹.骨外科学 高级医师进阶.第1版[M].北京.中国协和医科大学出版社.2016.314-316.
[3]周君主编.实用骨外科临床精要[M].北京.科学技术文献出版社.2019.283.
[4]王伟,梁津喜,杨明福主编.骨科临床诊断与护理[M].长春.吉林科学技术出版社.2020.197.
