概述
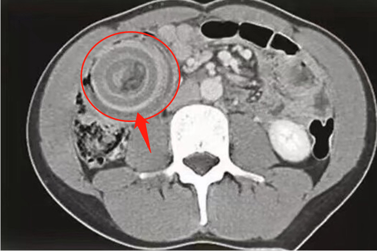
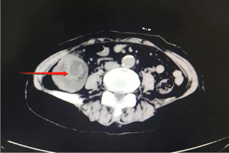
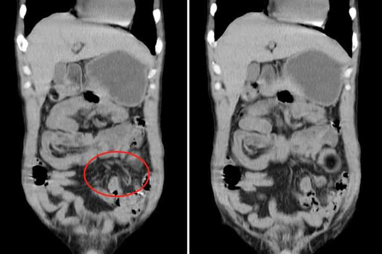
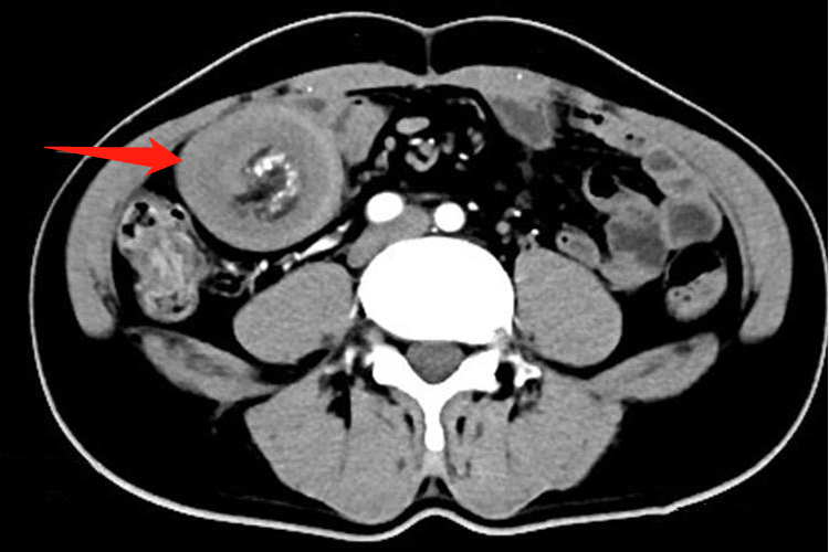
肠套叠CT表现通常为腹腔内软组织肿块影,肿块呈高低密度相间的分层状或环状,治疗可根据具体病情选择灌肠法或手术。
CT表现
对于出现肠套叠的患者,CT检查常表现为腹腔内软组织肿块影,肿块呈高低密度相间的分层状或环状,分别代表套入部肠腔、肠壁、肠系膜脂肪及鞘部肠腔和肠壁,靶心为套入部的肠腔,其周高密度环为肠壁。增强扫描肠壁有明显强化。口服造影剂进入套入部,则靶心密度很高,CT表现以套入的肠系膜脂肪形成新月形或半环形的脂肪密度区最具有诊断特征。




治疗
肠套叠一般多为特发性,对于全身状况良好、生命体征平稳、无中毒症状的患者可用空气或钡剂灌肠法复位。对于灌肠法不能复位或怀疑肠坏死,以及继发性肠套叠者,可行手术治疗,具体手术方法应根据疾病情况而定。
参考文献
[1]赵玉沛主编.中华医学百科全书.普通外科学[M].北京:中国协和医科大学出版社,2017.04.354-355.
[2]王志广主编.普通外科疾病临床诊疗新思维[M].长春:吉林科学技术出版社,2019.07.214.
展开
