概述
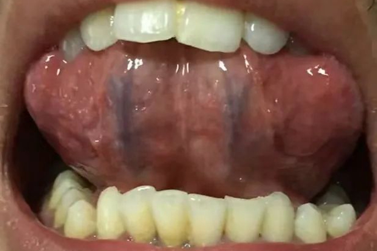
舌头下面组织主要包括舌系带、舌下阜、舌下襞等,舌下阜顶端还有下颌下腺和舌下腺的共同开口,舌下区黏膜可快速吸收药物。
结构
舌头下面黏膜在舌头的正中线上形成一黏膜皱襞,向下连于口腔底前部,称舌系带。在舌系带根部的两侧各有一小黏膜隆起,称舌下阜,其上有下颌下腺管和舌下腺大管的开口。由舌下阜向口底后外侧延续的带状黏膜皱襞称舌下襞,其深面藏有舌下腺,舌下腺小管开口于舌下襞表面。


作用
舌头下面有两对大唾液腺共同开口,包含下颌下腺、舌下腺,其分泌物有湿润口腔黏膜、清洁口腔、调和食物及分解淀粉等作用。另外,一些药物的服用方式为舌下给药,较薄的口腔底以及舌头下面的黏膜可以帮助快速吸收药物。
参考文献
[1]丁文龙,刘学政.系统解剖学.第9版[M].北京.人民卫生出版社.2018.100.
[2]李新华.人体解剖学[M].上海.上海科学技术出版社.2019.43.
[3](奥)海尔格·弗里奇.解剖学彩色图谱.内脏器官[M].上海.上海科学技术出版社.2019.152.
展开
