概述
血卟啉病可引起精神症状、皮肤病变等,如情绪不稳、皮肤出现溃疡、色素沉着等,是一种多基因遗传病,需积极治疗。
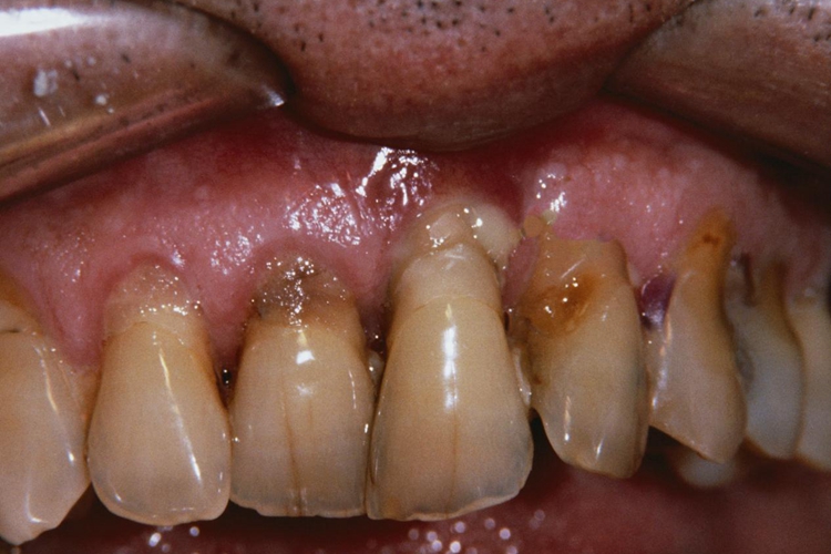
症状
血卟啉病可引起精神症状、皮肤病变等,主要如下:
精神症状:可以突然发病或缓慢起病,突然数天内发生类似散发性脑炎。有情绪不稳,表情怪异,躁动不安,意识模糊。有些患儿出现幻觉、妄想、猜疑、奔跑、喊叫、傻笑、毁物、伤人等症状。

皮肤病变:皮肤曝光部位可出现发红、红斑、水疱、湿疹、溃疡、色素沉着等症状。



其他症状:血卟啉病还可能出现腹痛、恶心、呕吐、腹胀、咖啡色尿以及牙齿呈棕红色等症状。

病因
血卟啉病是一种多基因遗传病,基因突变引起酶活性缺陷,先天性卟啉代谢紊乱,卟啉前体或卟啉在体内聚积所致,但何时发病及其严重程度与环境因素有关,饮酒、饥饿、重感染、创伤、精神刺激、妊娠、病毒感染、某些药物等均可诱发或加重病情。
治疗
血卟啉病患者需积极进行治疗,主要包括一般治疗、药物治疗等。
一般治疗:停用任何促卟啉生成和可能加重病情的药物,并戒酒,避免剧烈运动,积极控制感染,有皮肤损害者一定要避免日光照射。
药物治疗:口服和静脉应用葡萄糖等可减少卟啉的合成。抗癫痫药物尤其巴比妥类和苯妥英类本身可诱发血卟啉病急性发作,出现癫痫发作时应谨慎用药。也可配合β-胡萝卜素以及核黄素进行治疗,药物需在医生的指导下使用。
需注意,以上治疗均需遵医嘱进行。
参考文献
[1]陈光福.实用儿童脑病学.第1版[M].北京.人民卫生出版社.2016.707-708.
[2]柳河等著.新编内分泌代谢病学[M].长春:吉林科学技术出版社,217-219.
[3]夏俊萍,陈向梅,田永春著.医学临床诊疗技术丛书内分泌科疾病临床诊疗技术[M].北京:中国医药科技出版社,2017.287-294.
展开
