概述
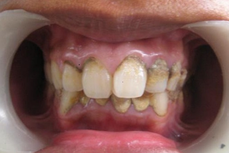
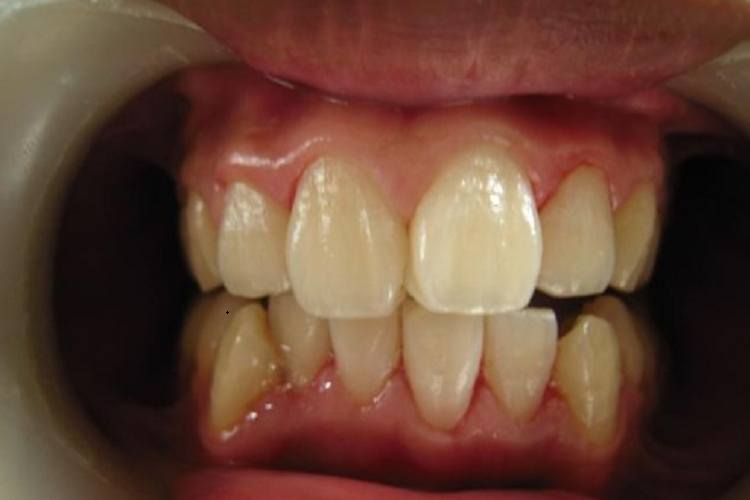
洗牙是洁治术的一种通俗说法,洁治术后,牙齿表面的菌斑、色素、牙石等能基本被洗掉,牙齿能恢复到自身原本的颜色。
对比
洁治术通常可以把附着在牙面上、牙根面上的外源性色素、菌斑、牙结石去掉,能够保持牙周健康,防止菌斑和牙结石的再次沉积。另外,洁治术具有一定磨光牙面的作用,有助于恢复原本的牙齿颜色。


临床意义
洁治术是牙龈炎、牙周炎、牙周维护治疗,以及预防牙周疾病的重要措施,能够使牙龈炎症消退或明显减轻,同时定期洁治,可防止牙周疾病的复发。
参考文献
[1]曲兆明著.口腔种植与牙周病诊治技术[M].天津.天津科学技术出版社.2018.320-321.
[2]张佐主编.口腔临床实践指导[M].银川.阳光出版社.2017.109-110.
展开
