概述
牙龈发炎肿化脓了可见于牙龈炎、牙周炎等,多由牙菌斑或细菌引起牙龈组织感染所致。
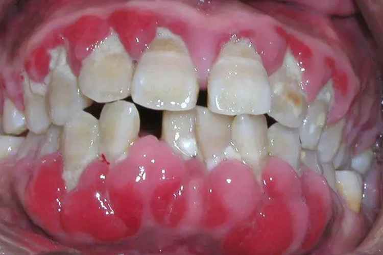
症状
牙龈发炎肿化脓了可见于牙龈炎、牙周炎等,各自的症状表现存在一定的特异性,具体如下:
牙龈炎
牙龈炎好发于前牙唇侧的牙龈乳头和龈缘,患者一般因刷牙或咬硬物时出血或口臭而就诊。可见唇侧龈缘明显肿胀,龈乳头呈球状突起,颜色呈鲜红或暗红,色光亮,质地软,探诊易出血,见龈袋形成。

牙周炎
牙周炎为广泛侵袭性的患者在活动期牙龈有急性炎症,呈鲜红色,伴龈缘区肉芽性增殖,易出血,并有溢脓。炎症病损呈弥漫性,可见广泛的邻面附着丧失牙槽骨破坏,呈明显的阵发性。

病因
牙龈发炎肿化脓了可见于牙龈炎、牙周炎等,具体病因如下:
牙龈炎
牙龈炎是由未注意口腔卫生、口腔内菌斑滞留引发的。青春期和妊娠期性激素的改变可使牙龈对菌斑等局部刺激物产生明显的炎症反应,或使原有的慢性牙龈炎加重。
牙周炎
牙周炎主要由放线聚集杆菌和牙龈卟啉单胞菌侵袭所致,可具有遗传性。
治疗
牙龈发炎肿化脓了可见于牙龈炎、牙周炎等,具体治疗如下:
牙龈炎
牙龈炎的治疗主要为去除局部刺激因素,保持口腔卫生并配合局部治疗,如龈袋冲洗、含漱剂含漱,必要时可施行牙龈切除术。孕妇出现体积较大的妊娠期龈瘤可手术切除,手术时机应尽量选择在妊娠期的4-6个月内,以免引起流产或早产。术后严格控制菌斑,以防复发。
牙周炎
牙周炎早期实施洁治、刮治和根面平整等基础治疗以彻底清除感染,必要时牙周手术治疗。还可口服甲硝唑和阿莫西林胶囊,西地碘含片、康复新液也可减少龈下菌斑的重新定植。对于病情不太严重而有牙移位的患者可用正畸方法将移位牙复位排齐。
参考文献
[1]张志愿.口腔科学.第9版[M].北京.人民卫生出版社.2018.64-65,69.
[2]刘阳,张建霞.康复新液联合西地碘含片对慢性牙周炎患者S100A12、LF水平的影响[J].临床医学研究与实践.2022.106-109.
