概述
血小板减少性紫癜发病期可见牙龈出血,黏膜上有明显的出血线。本病可能与感染、免疫因素、雌激素水平等有关。
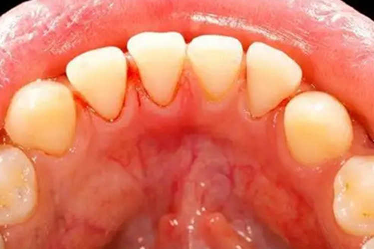
症状
血小板减少性紫癜可引起出血症状,表现为牙龈出血,见局部有鲜红色血液渗出,同时在口腔黏膜上还可伴有明显的出血线。少数患者可有脾大的表现。

病因
血小板减少性紫癜发病的相关因素有感染、免疫等因素。
感染因素:细菌或病毒感染与发病有密切关系,如急性血小板减少性紫癜患者,在发病前2周左右常有上呼吸道感染史;慢性血小板减少性紫癜患者,常因感染而致病情加重。
免疫因素:将血小板减少性紫癜患者血浆输给健康受试者,可造成后者一过性血小板减少,认为自身抗体致敏的血小板被单核-巨噬细胞系统过度吞噬破坏是血小板减少性紫癜发病的主要机制。
脾:是自身抗体产生的主要部位,也是血小板破坏的重要场所。
其他因素:鉴于血小板减少性紫癜在女性中多见,且多发于40岁以前,推测本病发病可能与雌激素有关。现已发现,雌激素可能有抑制血小板生成和(或)增强单核-吞噬细胞系统对与抗体结合的血小板吞噬作用。
治疗
血小板减少性紫癜为自身免疫性疾病,至今尚无特效的根治疗法,故目前治疗目的是使血小板数量恢复到安全阈值以上,降低病死率,血小板明显减少或有症状体征者可遵医嘱开始常规治疗。
一般治疗:急性患者主要于发病1-2周出血较重,因此发病初期,应减少活动,避免创伤,尤其是头部外伤。应积极预防及控制感染,阿司匹林可致出血,亦需避免。给予足量液体和易消化饮食,避免口腔黏膜损伤。为减少出血倾向常给大量维生素,局部出血者压迫止血,一般病例不需给予特殊治疗。若出血严重或疑有颅内出血者,应积极采取各种止血措施。慢性病例出血不严重或在缓解期均不需特殊治疗,但应避免外伤,预防感染,有时轻微呼吸道感染即可引起严重复发。
糖皮质激素:是治疗血小板减少性紫癜最常用而有效的药物,常用药物有泼尼松以及大剂量地塞米松。
参考文献
[1]彭德飞主编.临床危重症诊疗与护理[M].青岛:中国海洋大学出版社,2020.313-315.
[2]葛均波,徐永健,王辰.内科学.第9版[M].北京.人民卫生出版社.2018.614-616.
