概述
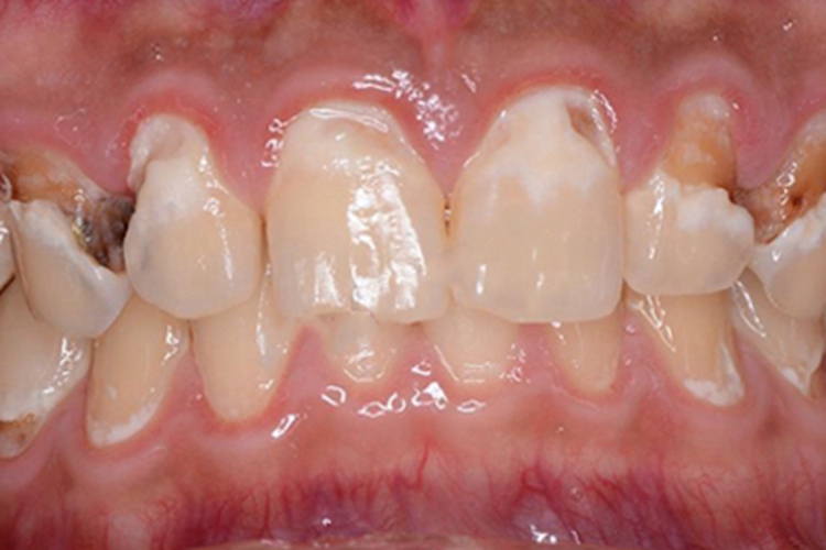
酸蚀症患者牙齿表面出现形状不规则的白斑,是白垩状脱矿斑,甚至出现牙齿缺损,主要与接触外源性酸性物质有关,遵医嘱进行治疗。
症状
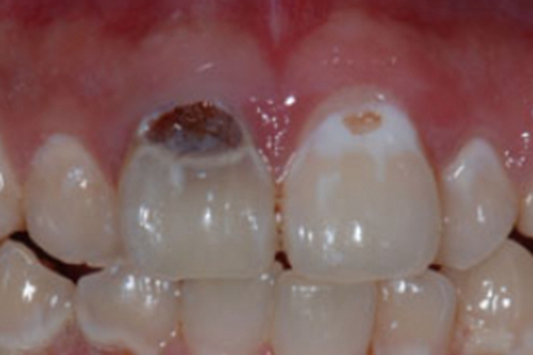
酸蚀症早期仅出现牙敏感,以后逐渐出现牙体组织实质性缺损,硝酸所致者多表现为牙颈部白垩状或灰色脱矿斑块,状似白斑,形状不规则,部分牙齿可出现大块缺损,重者出现大面积深度破坏。


病因
酸蚀症的直接病因是酸或酸酐,制酸、汽车电池、电镀材料等行业的从业人员,可能接触外源性酸性物质,属于高危人群。长期大量饮用可乐、果汁等酸性饮料,容易导致牙齿出现酸蚀症,常破坏前牙唇面。
治疗
酸蚀症患者要注意进行牙齿保护,刷牙漱口,少进食酸性饮食,积极治疗消化系统疾病。症状较轻时可遵医嘱进行脱敏治疗,牙缺损严重者可采用充填修复治疗,出现牙髓根尖周病变者需行根管治疗,注意定期复查。
参考文献
[1]张志愿.口腔科学.第9版[M].北京.人民卫生出版社.2018.49.
[2]张震康,俞光岩,徐韬.实用口腔科学.第4版[M].北京.人民卫生出版社.2016.39-40.
展开
