概述
牙龈萎缩可发生全口牙龈,由于牙间乳头退缩,使得牙龈肿胀明显。该情况可能由多种原因引起,治疗均需遵医嘱进行。
症状
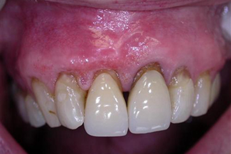
牙龈萎缩可发生全口牙龈,由于牙间乳头退缩,使得牙龈肿胀明显,牙根暴露。同时牙龈与牙齿的连接处呈褐色,为色素带。同时患者可伴有一些其他症状,如牙龈敏感、食物嵌塞、龋齿等。

病因
牙龈萎缩牙龈肿胀明显,可能由多种原因引起,如刷牙的方法不适当,包括横刷牙齿、刷牙用力过大刺激牙龈等。其他原因包括牙周炎、固定修复体位于龈下过深等。
治疗
对于牙龈萎缩牙龈肿胀明显情况,患者需要明确诱发因素,并进行规避,如改善刷牙方式、改善刷牙力度、调整正畸力量、去除不良修复体等。同时可应用一些药物缓解不适,常见的有阿莫西林胶囊、盐酸多西环素片、甲硝唑片、罗红霉素分散片等。注意上述治疗均需遵医嘱进行。
在日常生活中,患者需要观察损害变化,并确保口腔清洁。
参考文献
[1]曲兆明.口腔种植与牙周病诊治技术[M].天津:天津科学技术出版社,2018:277.
[2]樊明文.临床医学口腔医学[M].北京:中国协和医科大学出版社,2018:95.
展开
