概述
宝宝牙龈充血红肿可能是长牙、牙龈炎症等原因导致。宝宝长牙一般是正常生理现象,牙龈炎症是由于口腔卫生不良、细菌感染等导致。
症状
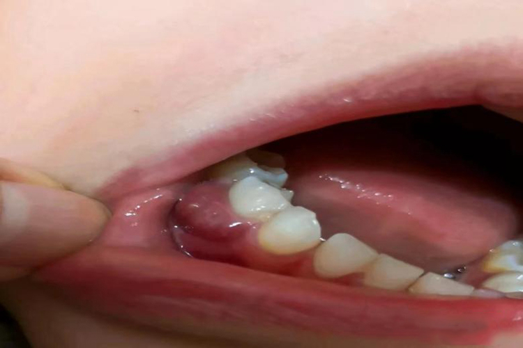
宝宝牙龈充血红肿可能是长牙、牙龈炎症、龋齿等原因导致,其不同类型所致的临床症状不同。
长牙:乳牙萌发时,通常宝宝无异常现象,但部分宝宝的牙龈可能会先出现充血、红肿现象,并且存在牙床发痒,使宝宝出现吮手指、咬玩具、流口水的现象。此外,长牙时某些宝宝会有低热、睡眠不安及轻微腹泻的现象。

牙龈炎症:即龈乳头和龈缘发炎,患牙龈炎时,宝宝会出现牙龈红肿,充血明显现象,易出血,若不及时治疗会演变成牙周炎。

病因
出牙时,牙龈可能会有异样感,如果宝宝用手指触摸,擦伤牙龈时,牙龈黏膜就会出现充血红肿的现象。而牙龈炎主要是由于口腔卫生不良、细菌感染、营养不良等原因导致。
治疗
正常出牙导致牙龈红肿充血,不伴有其他异常症状一般不需额外治疗,做好口腔卫生清洁即可。
如果是牙龈炎导致宝宝牙龈红肿充血,需彻底清除菌斑,消除造成菌斑滞留和局部刺激牙龈的因素,帮助宝宝掌握正确的刷牙方法,保持口腔清洁。如有口呼吸不良习惯的患儿,应注意检查患儿鼻咽部的疾患,经治疗去除口唇闭锁不全的有关因素,改变其口呼吸习惯。如存在营养不良情况,需积极进行检查,然后补充相应的营养元素。
参考文献
[1]孟斐编著.妊娠分娩育儿全程指导[M].天津.天津科学技术出版社.2015.473.
[2]窄秀凤.小儿皮肤病防治第2版[M].郑州.河南科学技术出版社.2018.189.
[3]葛立宏.儿童口腔医学.第4版[M].北京.人民卫生出版社.2014.192-193.
展开
