概述
牙龈萎缩患病时间长、症状严重时,可导致牙根暴露多,呈细长状,是由于牙龈组织受损导致,可进行手术修复。
症状
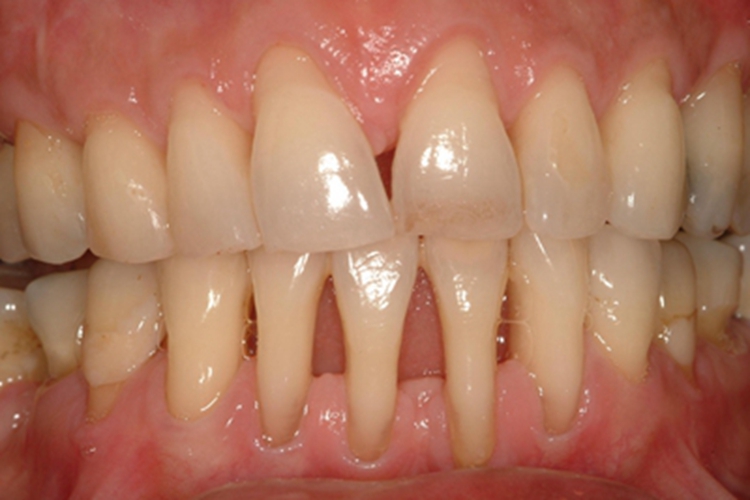
牙龈萎缩患病时间长、症状严重时,可导致上下牙龈均回缩,下牙龈萎缩明显,局部肿胀、牙缝粗大,牙根暴露多,呈细长状,牙齿稍稍发黄,可伴随牙齿松动,后续逐渐脱落。

病因
牙龈萎缩常见的原因包括牙周疾病、刷牙过度力度、牙齿错颌问题、缺乏口腔卫生等。这些因素导致牙龈组织受损,逐渐变薄、失去弹性,无法牢固地附着在牙齿上。这种情况会导致牙根暴露在口腔环境中,露出细长牙根。此外,牙刷毛过硬、横刷牙,牙周炎治疗后,炎症消退或切除牙龈也导致牙根暴露。
治疗
牙龈萎缩露出细长牙根,可以通过手术进行修复,包括侧向转位瓣术、游离龈瓣移植术、结缔组织瓣移植术等。这些手术均旨在恢复牙龈的正常形态,减少牙根暴露。在进行手术前,牙医会根据患者的具体病情评估选择最合适的治疗方案。手术后,患者需要遵循牙医的建议,保持良好的口腔卫生习惯,以确保手术效果的持久性。
参考文献
[1]曲兆明.口腔种植与牙周病诊治技术[M].天津:天津科学技术出版社,2018:277.
[2]樊明文.临床医学口腔医学[M].北京:中国协和医科大学出版社,2018:95.
展开
