概述
胸膜炎CT上多表现为有水样密度影,可能与病原体感染、变态反应、肿瘤等因素有关,需针对性治疗。
症状
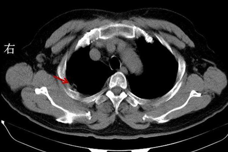
胸膜炎常见三种类型,分别为干性胸膜炎、浆液性胸膜炎和化脓性胸膜炎,CT表现有一定区别。
干性胸膜炎:CT表现为与后胸壁胸膜平行的水样密度弧形带状影。

浆液性胸膜炎:CT表现为与胸膜平行的新月状水样低密度影,弧形线向后内侧凹陷,局部肺组织轻度受压。

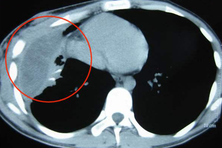
化脓性胸膜炎:化脓性胸膜炎的胸腔积液密度较一般渗出性胸腔积液的密度稍高,部分可见气体影,脓胸的壁厚而较均匀,邻近的肺实质受压移位。增强CT显示脓腔壁呈明显环状均匀强化,内壁光滑。

病因
胸膜炎可能与多种因素有关,如细菌、病毒、真菌感染,以及变态反应(如系统性红斑狼疮、类风湿关节炎等)、肿瘤(如支气管肺癌胸腹转移、淋巴瘤、胸膜间皮瘤等)因素,还可能与化学性因素,如血红蛋白刺激、尿毒症、物理性创伤等有关。
治疗
干性胸膜炎需对原发病进行治疗,可遵医嘱使用镇痛剂止痛。如非肺炎患者,宜用宽大胶布条紧缠患部以减少其呼吸动作或给予镇咳剂抑制咳嗽。浆液性胸膜炎的治疗取决于原发病的诊断,可遵医嘱在抗菌治疗的基础上加用皮质激素和穿刺抽液。化脓性胸膜炎脓胸的治疗需排除脓液解除胸腔压迫,遵医嘱使用抗感染类药物控制感染,并改善全身情况。
参考文献
[1]张秀芸编著.实用儿科影像诊断[M].北京.科学技术文献出版社.2017.163-166.
[2]杨晓东主编.临床呼吸内科疾病诊疗新进展[M].开封.河南大学出版社.2020.160.
[3]闫军主编.实用儿科常见疾病诊疗实践[M].长春.吉林科学技术出版社.2019.111-114.
[4]徐克,龚启勇,韩萍.医学影像学.第8版[M].北京.人民卫生出版社.2018.135.
展开
