概述
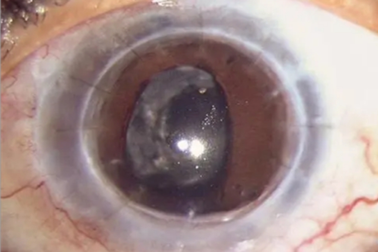
典型性虹膜缺损患者眼球可出现病损,表现为瞳孔向下延伸,呈裂隙状或梨形,是系先天胚裂闭锁不全导致,应在医生指导下对症治疗。
症状
典型性虹膜缺损的损害可体现在眼球部位,一般位于虹膜下方,瞳孔向下伸展到角膜边缘,并愈向周边愈窄,形成尖向下的梨形,也有形状为裂隙等,缺损的基底向着瞳孔。


病因
典型性虹膜缺损为胚裂期从脉络膜到虹膜缺损,系先天胚裂闭锁不全所致。
治疗
典型性虹膜缺损通常无特殊治疗方式,如果出现并发症需要遵医嘱对症处理,常见的包括瞳孔修补术、虹膜膈植入术、佩戴特殊的角膜接触镜等。
参考文献
[1]吕帆编.眼科学;供临床医学、预防医学、口腔医学、医学影像学、医学检验学等专业用;第2版[M].南京:江苏科学技术出版社,2018.95.
[2]杨培增,范先群.眼科学.第9版[M].北京.人民卫生出版社.2018.174-175.
[3]崔迎春等编著.眼科检查与诊断治疗技巧[M].长春:吉林科学技术出版社,2019.302.
[4]陈迪等主编.实用眼科诊疗学[M].长春:吉林科学技术出版社,2019.176.
展开
