概述
斑块型副银屑病皮损可表现为大小不一的斑块,表面有细薄鳞屑,数目不定,分散存在。本病可能与感染病灶致敏有关。
症状
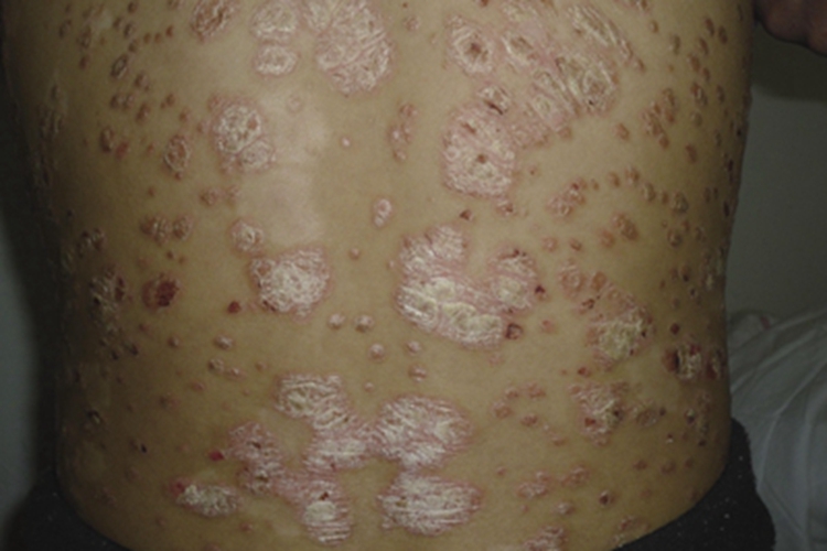
斑块型副银屑病皮损为境界清楚的肥厚性斑片或斑块,有轻度浸润,可呈淡红色,圆形、椭圆形或不规则形,表面有细薄鳞屑,散在分布,邻近的皮损可相互融合呈大片,其大小不等,数目不定。一般无自觉症状。

病因
目前斑块型副银屑病病因不明,可能与感染病灶致敏有关,也可能为蕈样肉芽肿的早期表现。
治疗
斑块型副银屑病治疗效果不理想,应根据自身病情在医生指导下用药。对于斑块较小的副银屑病无需治疗或外用润肤剂、糖皮质激素,也可在医生指导下进行光疗法,如UVB或PUVA治疗。对斑块较大的副银屑病应在医生指导下外用强效糖皮质激素,同时可进行光疗或光化学疗法。
对于急性发病的患者可遵医嘱口服糖皮质激素,如醋酸泼尼松片,同时可使用头孢克洛胶囊、阿莫西林胶囊等抗生素预防感染。日常可适当进行药浴,如矿泉浴、硫磺浴等。
参考文献
[1]姚战非著.新编皮肤病临床诊疗精要[M].哈尔滨.黑龙江科学技术出版社.2018.127.
[2]陆海涛主编.临床皮肤性病学上.第2版.吉林.科学技术出版社.2019.101.
展开
