概述
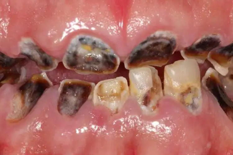
门牙腐烂在医学上被称为龋齿,牙齿表面发黑,表面缺损严重,呈腐烂外观。
门牙腐烂多是由于牙菌斑、酸性物质等因素所致,可通过非手术治疗和窝洞充填术治疗。
症状
龋齿表现为门牙表面粗糙,光泽消失,早期呈白垩色,龋进展到牙本质层,呈现灰白色或棕褐色,甚至黑色。随着病情进展,病损区扩大,形成了牙体组织由表及里的实质性缺口,形成龋洞,通过黑浸状颜色的改变初步判断龋洞的大小,龋洞内质地软化的龋坏组织,形成龋腐,从而出现门牙腐蚀的症状。


病因
龋齿多是由于牙菌斑、酸性食物、不良的饮食习惯以及刷牙习惯等导致脱矿,进而出现牙齿腐坏,最终导致门牙出现腐烂的症状。
治疗
龋齿多需注意保持良好的口腔状况,并遵医嘱采取非手术治疗和窝洞充填术等方式进行治疗。
非手术治疗:早期釉质龋未出现牙体组织缺损时可采用非手术治疗,采用药物、再矿化或窝沟封闭等技术终止或消除龋病。
窝洞充填术:在医生指导下,去净龋损牙体组织及感染牙本质,消除感染源。尽可能保留健康的牙体组织,在保护牙髓-牙本质复合体的前提下开展手术治疗。预备抗力形和固位形,防止充填体的松动脱落或牙折裂。
参考文献
[1]周学东.牙体牙髓病学.第5版[M].北京.人民卫生出版社.2020.31-34.41-43.
[2]张志愿.口腔科学.第9版[M].北京.人民卫生出版社.2018.44-45.
展开
