概述
口腔尖锐湿疣可发生在口腔,出现无痛性的疣状结节,与边缘界限清楚。该病是因感染人乳头瘤病毒所致,以外治为主,内治为辅。
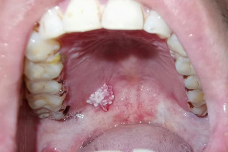
症状
口腔尖锐湿疣可累及口腔位置,表现为单个或多个无痛性的疣状结节,有蒂或无蒂,可逐渐增大或融合,形成菜花状、乳头状赘生物,与边缘界限清楚,颜色呈肉色或苍白色,患者可有异物感。



病因
口腔尖锐湿疣是因感染人乳头瘤病毒所致,过早性生活、多个性伴侣、免疫力低下、吸烟及高性激素水平等均为发病的高危因素。口腔感染人乳头瘤病毒主要是通过口交途径,接触被污染的浴巾、浴盆等也可感染。
本病患者发病期间或者发病前后曾与尖锐湿疣感染者或处于潜伏期者有过口交行为。因为口交行为可造成局部充血,和抵抗能力的下降,从而引发感染。
治疗
口腔尖锐湿疣的治疗原则是遵医嘱外治为主,内治为辅,其中鬼臼毒素酊为首选的外用药,其他外用药物还包括氟尿嘧啶软膏、咪喹莫特乳膏等。
也可在医生下使用物理疗法,如液氮冷冻、光动力学治疗、电灼等。系统治疗可用干扰素、左旋咪唑等药物。在完全治愈前,应嘱患者避免性生活。
参考文献
[1]陆海涛.临床皮肤性病学 下 第2版[M].吉林科学技术出版社.2019.308.
[2]陈谦明.口腔黏膜病学.第5版[M].北京.人民卫生出版社.2020.142-143.
展开
