概述
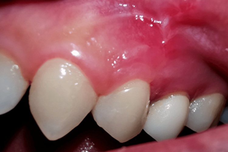
慢性根尖周炎的损害可发生在牙龈,可表现为患者牙龈局部发红、肿胀。该症状由根管内感染导致,患者的治疗主要是采用根管治疗。
症状
慢性根尖周炎的损害可发生在牙龈,临床上可表现为患者牙龈局部发红、肿胀,伴随明显疼痛,后续红肿部位容易突出来脓性小包块,会出现破溃、出血、流脓等症状。

病因
当患者患有龋病、牙髓病等疾病时,根管内会长期存在感染,进而引发慢性炎症反应,导致牙龈红肿。
治疗
患者的治疗主要是采用根管治疗,通过疏通根管,清除感染物质,并充填消毒糊剂,可使牙齿功能恢复和保存,必要时可行根尖切除术或尖周刮治术,如患牙牙体缺损较大不能修复者,最后可给予拔除。同时还可配合使用消炎止痛药物,如阿莫西林胶囊、头孢克肟颗粒、甲硝唑片等,有助于消退炎症,进而缓解症状。
除此之外,还可进行开髓引流,缓解急性疼痛,释放牙髓腔内的压力,有助于牙髓腔内的血性、脓性渗出物的引流。患者可根据自身情况,遵医嘱采取相应的治疗。
参考文献
[1]张志愿.口腔科学.第9版[M].北京.人民卫生出版社.2018.57.
[2]周学东.牙体牙髓病学.第5版[M].北京.人民卫生出版社.2020.185.
[3]任成山,王甲汉,牛广政等.现代临床疾病防治学;下册.第1版[M].郑州.郑州大学出版社.2012.2084.
展开
