概述
腰椎小关节紊乱CT检查可见关节突增生,关节间隙增宽、对合不良,关节突关节退变等。腰部可牵扯到骶尾部、臀部疼痛。
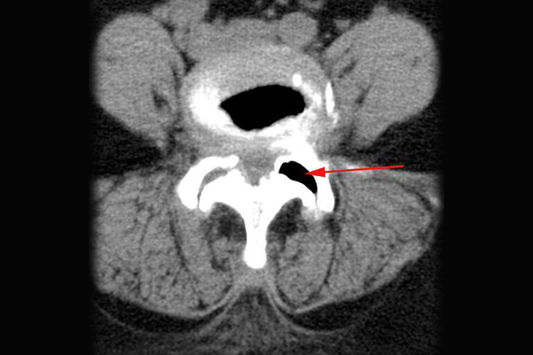
影像学表现
腰椎小关节紊乱影像学检查可见关节突增生,关节间隙增宽、对合不良,关节突关节退变,软骨下硬化,关节内碎骨、积液、积气等改变。同时患者还可伴有腰部疼痛,或牵扯到骶尾部、臀部疼痛,无下肢放射痛。腰椎关节突关节部位有明显压痛,但无向下的放射痛。


病因
腰椎小关节紊乱多由于搬抬重物时突然用力不当,或做伸弯腰动作姿势不当,导致腰椎小关节突间关节错位或关节突间关节滑膜嵌顿,从而出现小关节紊乱。另外,腰椎的急性扭伤或慢性劳损、老年性脊柱的退行性改变也是本病的常见原因。
治疗
腰椎小关节紊乱者需在医生指导下治疗。以非手术治疗为主,急性期建议患者卧床休息,配合药物、针灸、推拿、牵引、封闭疗法等。缓解期以多种方法综合治疗为主。
康复期在综合治疗、巩固疗效的基础上,以运动疗法为主。即指导患者进行腰背肌力练习及腹肌肌力练习,指导患者培养正确的坐、立、行、走、拾物姿势,同时养成良好的工作生活习惯。
参考文献
[1]郭艳幸,鲍铁周.平乐正骨筋伤学[M].北京.中国中医药出版社.2018.303-305.
[2]陈东银,田径,李立新.中老年常见骨关节病防治[M].北京.金盾出版社.2018.225-226.
[3]张举.实用临床影像诊断学.下.第2版[M].长春.吉林科学技术出版社.2019.333-335.
展开
