概述
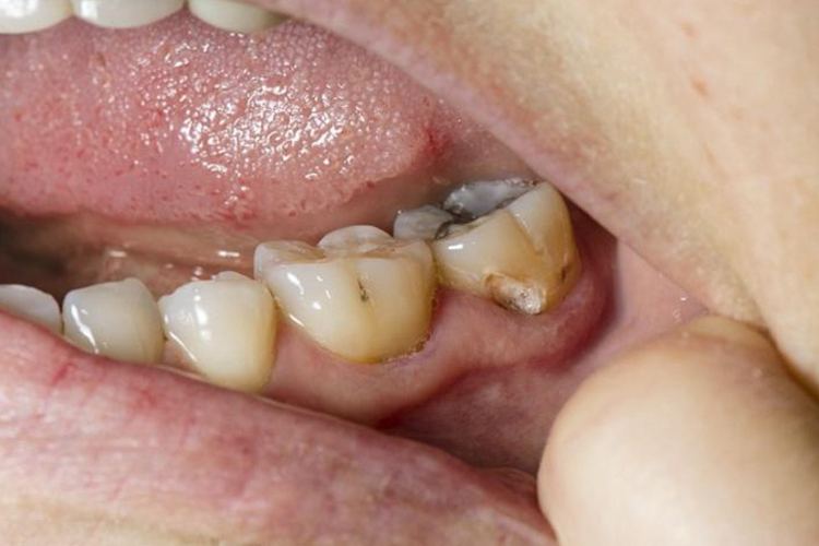
大牙侧面有牙洞考虑可能是龋病,主要表现为牙体缺损,对冷热酸甜刺激敏感,发病主要与宿主、口腔微生物、饮食及时间因素有关。
症状
大牙侧面有牙洞多为龋病,龋坏达牙本质,对冷热酸甜刺激敏感。龋损部位牙本质呈黄褐或深褐色,有龋洞形成,牙体缺损明显,龋洞较深时,食物嵌入洞中会引起疼痛。

病因
龋病的形成可能与敏感的宿主、口腔微生物、碳水化合物类食物等因素有关。
治疗
大牙侧面有牙洞确诊为龋病后,需在医生指导下治疗。因大牙侧面已经有牙洞,提示牙体组织缺损,无法自行恢复,需采用窝洞充填术进行治疗,终止龋病发展,恢复牙的形态与功能。
参考文献
[1]樊明文.中华医学百科全书 2 临床医学 口腔医学[M].中国协和医科大学出版社.2018.8.
[2]张志愿.口腔科学.第9版[M].北京.人民卫生出版社.2018.45.
[3]周学东.牙体牙髓病学.第5版[M].北京.人民卫生出版社.2020.29-33.
展开
