概述
蚕蚀性角膜溃疡可导致黑眼球边缘有灰白色溃疡,像不规则的白斑,其发生可能与外伤、手术等因素有关,可遵医嘱进行治疗。
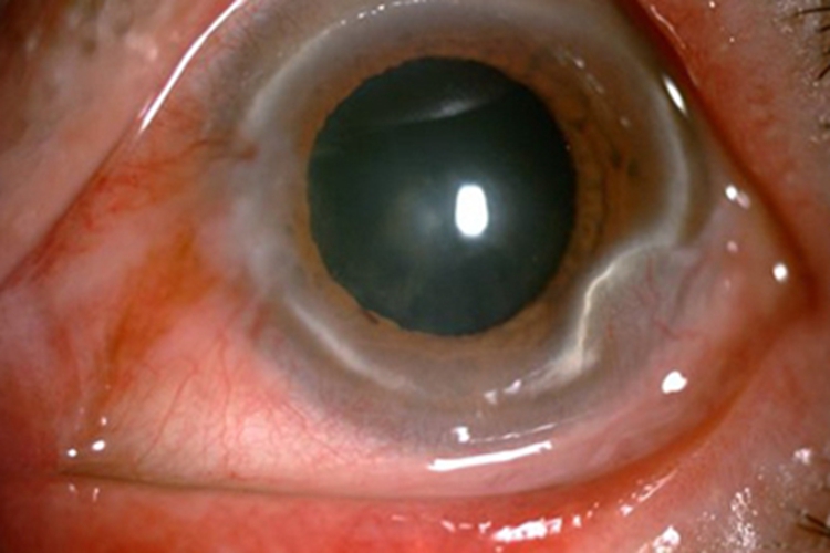
症状
蚕蚀性角膜溃疡可导致患者的黑眼球边缘有灰白色溃疡,像不规则的白斑,边界清楚,周边眼白发红,溃疡呈进行性发展,会逐渐向角膜中央部匐行扩展。

病因
蚕蚀性角膜溃疡是一种自身免疫性疾病。黑眼球有白斑的发生可能与外伤、手术、感染等因素有关,在这些因素的作用下可以诱发机体免疫反应,最终导致角膜出现溃疡。此外,还可能与自身免疫反应有关。
治疗
对于蚕蚀性角膜溃疡黑眼球有白斑的症状,患者可遵医嘱局部糖皮质激素药物,常用的有妥布霉素地塞米松滴眼液、醋酸泼尼松龙滴眼液、氟米龙滴眼液等。同时还可在医生的指导下联合使用环孢素软胶囊、复方环磷酰胺片等免疫抑制剂。必要时可遵医生建议采取相应的手术治疗,如结膜切除术、板层角膜移植术等,切除角膜病变的溃疡组织。
参考文献
[1]李玲主编.现代眼科疾病诊疗学[M].云南.云南科学技术出版社.2020.125.
[2]段俊国,毕宏生主编.中西医结合眼科学.新世纪第3版[M].北京.中国中医药出版社.2016.148-149.
展开
